Kv1.4 Rabbit Polyclonal Antibody, Unconjugated
Artikelnummer:
HBO-ER1902-49
Produktübersicht
Artikelname:
Kv1.4 Rabbit Polyclonal Antibody, Unconjugated
Artikelnummer:
HBO-ER1902-49
Hersteller Artikelnummer:
ER1902-49
Alternativnummer:
HBO-ER1902-49
Hersteller:
HUABIO
Wirt:
Rabbit
Kategorie:
Antikörper
Applikation:
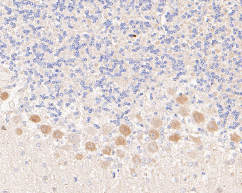
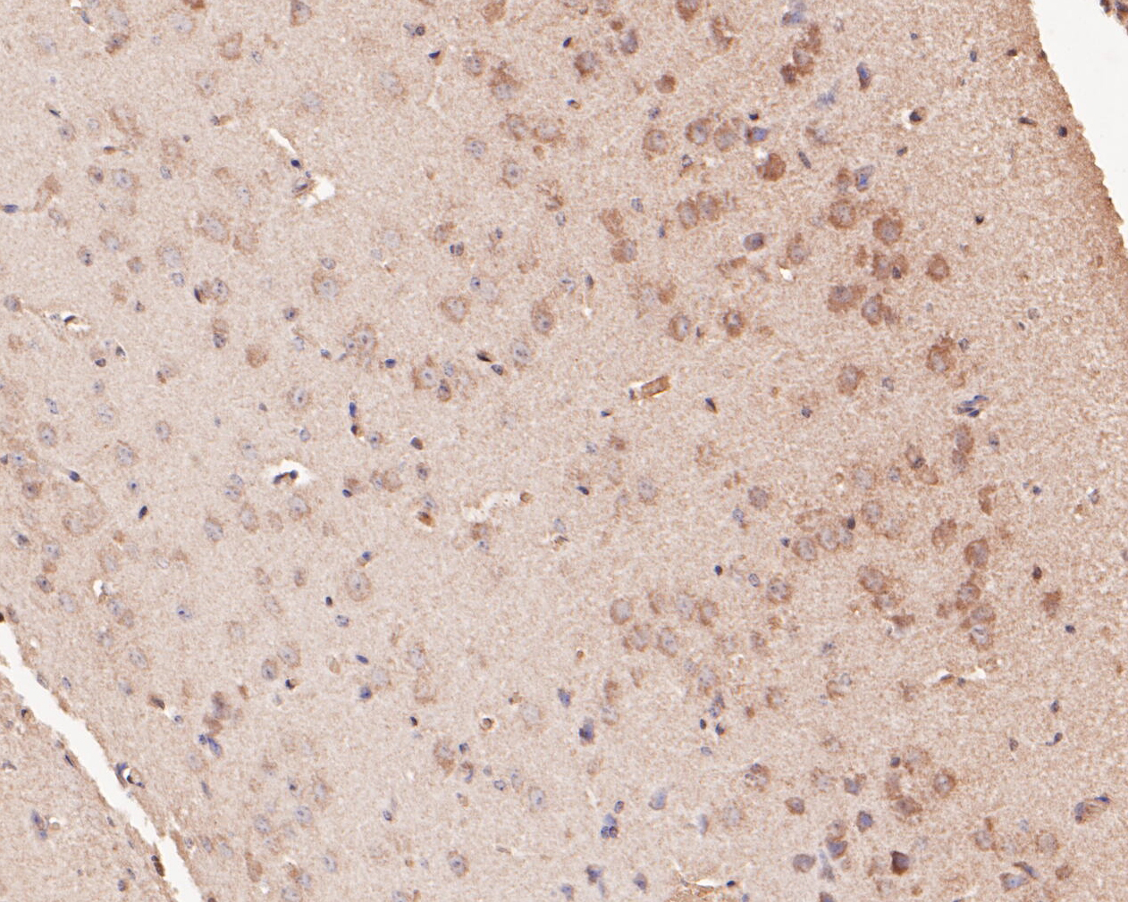
FC, IF, IHC-P, WB
Spezies Reaktivität:
Human, Mouse, Rat
Immunogen:
Synthetic peptide within mouse KCNA4 aa 330-379 / 654.
Konjugation:
Unconjugated
Alternative Synonym:
Voltage gated K+ channel HuKII antibody Fetal skeletal muscle potassium channel antibody HBK4 antibody HK1 antibody HPCN2 antibody HUKII antibody Kcna4 antibody KCNA4_HUMAN antibody KCNA4L antibody KCNA8 antibody kv1.4 antibody PCN2 antibody Potassium ch
Produktbeschreibung
Voltage-gated potassium channel that mediates transmembrane potassium transport in excitable membranes. Forms tetrameric potassium-selective channels through which potassium ions pass in accordance with their electrochemical gradient. The channel alterna
Produkteigenschaften
Klonalität:
Polyclonal
Konzentration:
1 mg/ml.
Molekulargewicht:
73 kDa
Isotyp:
IgG
UniProt:
P22459
Puffer:
1*PBS (pH7.4), 0.2% BSA, 50% Glycerol. Preservative: 0.05% Sodium Azide.
Reinheit:
Immunogen affinity purified.
Formulierung:
Liquid
Target-Kategorie:
Potassium voltage-gated channel subfamily A member 4 RCK41 RHK1 RK3 Voltage-gated potassium channel subunit Kv1.4 Kcna4
Antibody Type:
Primary Antibody
Anwendungsbeschreibung
Application Verdünnung:
WB: 1:500,IHC-P: 1:50-1:200,IHC-P: 1:50-1:200,FC: 1:50-1:100