CDKN2A/p16INK4a Rabbit Polyclonal Antibody, Unconjugated
Catalog Number:
HBO-ER1803-53
Product Overview
Article Name:
CDKN2A/p16INK4a Rabbit Polyclonal Antibody, Unconjugated
Biozol Catalog Number:
HBO-ER1803-53
Supplier Catalog Number:
ER1803-53
Alternative Catalog Number:
HBO-ER1803-53
Manufacturer:
HUABIO
Host:
Rabbit
Category:
Antikörper
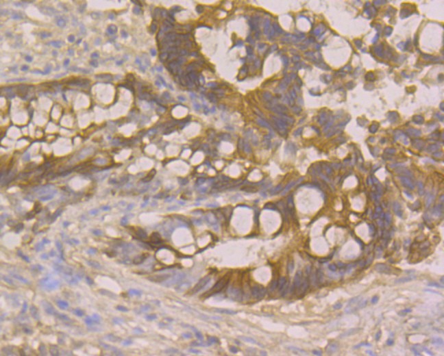
Application:
FC, IF, IHC-P, WB
Species Reactivity:
Human
Immunogen:
Synthetic peptide within C-terminal human CDKN2A/p16INK4a.
Conjugation:
Unconjugated
Alternative Names:
CCM2 antibody CDK4 inhibitor p16 INK4 antibody CDK4I antibody CDKN2 antibody CDKN2A antibody Cell cycle negative regulator beta antibody CMM2 antibody Cyclin dependent kinase 4 inhibitor A antibody Cyclin dependent kinase inhibitor 2A (melanoma p16 inhib
Product Description
This gene generates several transcript variants which differ in their first exons. At least three alternatively spliced variants encoding distinct proteins have been reported, two of which encode structurally related isoforms known to function as inhibit
Product Properties
Clonality:
Polyclonal
Concentration:
1 mg/mL.
Molecular Weight:
Predicted band size: 17 kDa
Isotype:
IgG
UniProt:
P42771
Buffer:
1*PBS (pH7.4), 0.2% BSA, 50% Glycerol. Preservative: 0.05% Sodium Azide.
Purity:
Immunogen affinity purified.
Form:
Liquid
Target:
CDK4I, MTS-1, p16-INK4, p16INK4A, CDKN2A, CDKN2, MTS1
Antibody Type:
Primary Antibody
Application Notes
Application Dilute:
WB: 1:1,000 ,IF-Cell: 1:50-1:200 ,IHC-P: 1:50-1:200 ,FC: 1:50-1:100
Images
ICC staining CDKN2A/p16INK4a in 293T c