RYR3 Rabbit Polyclonal Antibody, Unconjugated
Catalog Number:
HBO-ER1803-92
Product Overview
Article Name:
RYR3 Rabbit Polyclonal Antibody, Unconjugated
Biozol Catalog Number:
HBO-ER1803-92
Supplier Catalog Number:
ER1803-92
Alternative Catalog Number:
HBO-ER1803-92
Manufacturer:
HUABIO
Host:
Rabbit
Category:
Antikörper
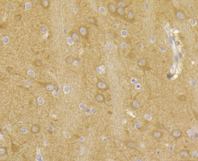
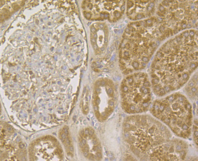
Application:
DOT, ELISA, IF, IHC-P
Species Reactivity:
Human, Mouse, Rat
Immunogen:
Recombinant protein within Human RYR3 aa 1-140 / 4,870.
Conjugation:
Unconjugated
Alternative Names:
Brain ryanodine receptor-calcium release channel Brain-type ryanodine receptor Type 3 ryanodine receptor Ryanodine receptor 3 Brain ryanodine receptor calcium release channel antibody Brain type ryanodine receptor antibody Cardiac muscle ryanodine recept
Product Description
The protein encoded by this gene is a ryanodine receptor, which functions to release calcium from intracellular storage for use in many cellular processes. For example, the encoded protein is involved in skeletal muscle contraction by releasing calcium f
Product Properties
Clonality:
Polyclonal
Concentration:
1 mg/mL.
Molecular Weight:
552 kDa
Isotype:
IgG
UniProt:
Q15413
Buffer:
1*PBS (pH7.4), 0.2% BSA, 50% Glycerol. Preservative: 0.05% Sodium Azide.
Purity:
Immunogen affinity purified.
Form:
Liquid
Target:
RYR-3, RyR3, HBRR
Antibody Type:
Primary Antibody
Application Notes
Application Dilute:
ELISA:1:5,000-1:10,000,Dot Blot:1:2000-1:20,000,IF-Cell:1:100,IHC-P:1:50-1:200