FH Rabbit Polyclonal Antibody, Unconjugated
Catalog Number:
HBO-ER1901-10
Product Overview
Article Name:
FH Rabbit Polyclonal Antibody, Unconjugated
Biozol Catalog Number:
HBO-ER1901-10
Supplier Catalog Number:
ER1901-10
Alternative Catalog Number:
HBO-ER1901-10
Manufacturer:
HUABIO
Host:
Rabbit
Category:
Antikörper
Application:
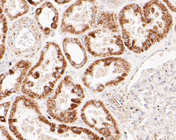
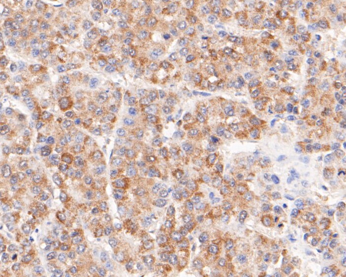
FC, IF, IHC-P, WB
Species Reactivity:
Human, Mouse, Rat
Immunogen:
Recombinant protein within human Fumarase aa 83-267.
Conjugation:
Unconjugated
Alternative Names:
FH antibody Fumarase antibody Fumarate hydratase antibody Fumarate hydratase mitochondrial antibody Fumarate hydratase, mitochondrial antibody FUMH_HUMAN antibody HLRCC antibody LRCC antibody MCL antibody MCUL 1 antibody MCUL1 antibody MS709 antibody Mul
Product Description
The protein encoded by this gene is an enzymatic component of the tricarboxylic acid (TCA) cycle, or Krebs cycle, and catalyzes the formation of L-malate from fumarate. It exists in both a cytosolic form and an N-terminal extended form, differing only in
Product Properties
Clonality:
Polyclonal
Concentration:
1 mg/mL
Molecular Weight:
Predicted band size: 54 kDa
Isotype:
IgG
UniProt:
P07954
Buffer:
1*PBS (pH7.4), 0.2% BSA, 50% Glycerol. Preservative: 0.05% Sodium Azide.
Purity:
Immunogen affinity purified.
Form:
Liquid
Target:
FH
Antibody Type:
Primary Antibody
Application Notes
Application Dilute:
WB:1:500-1:2,000 ,IF-Cell:1:50-1:100 ,IHC-P:1:50-1:200 ,FC:1:50-1:100