DFNA5 / GSDME Rabbit Polyclonal Antibody, Unconjugated
Catalog Number:
HBO-ER1901-12
Product Overview
Article Name:
DFNA5 / GSDME Rabbit Polyclonal Antibody, Unconjugated
Biozol Catalog Number:
HBO-ER1901-12
Supplier Catalog Number:
ER1901-12
Alternative Catalog Number:
HBO-ER1901-12
Manufacturer:
HUABIO
Host:
Rabbit
Category:
Antikörper
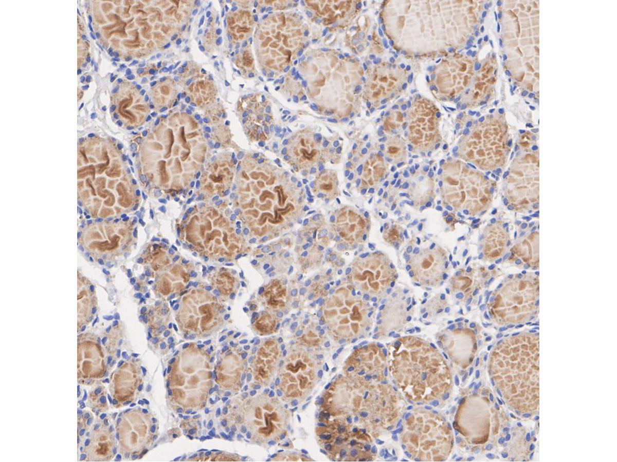
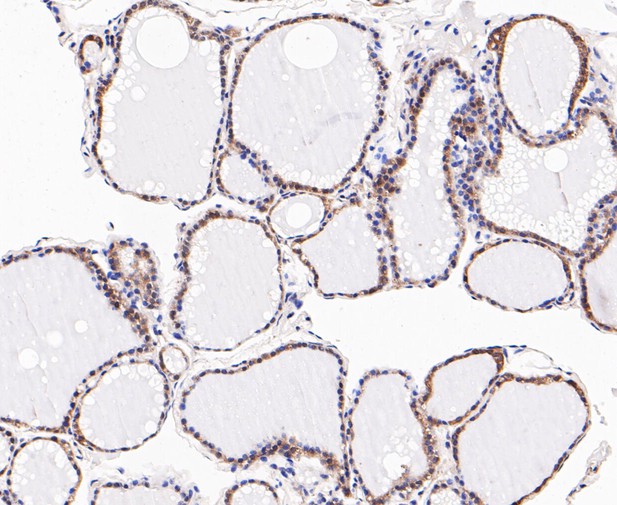
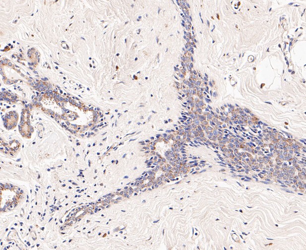
Application:
FC, IHC-P, WB
Species Reactivity:
Human
Immunogen:
Recombinant protein within Human DFNA5 / GSDME aa 1-220 / 496.
Conjugation:
Unconjugated
Alternative Names:
2310037D07Rik antibody 4932441K13Rik antibody Deafness, autosomal dominant 5 antibody Deafness, autosomal dominant 5 protein antibody DFNA5 antibody DFNA5 gene antibody DFNA5_HUMAN antibody Dfna5h antibody EG14210 antibody Fin15 antibody ICERE 1 antibody
Product Description
Plays a role in the TP53-regulated cellular response to DNA damage probably by cooperating with TP53. Gasdermin-E, N-terminal: Switches CASP3-mediated apoptosis induced by TNF or danger signals, such as chemotherapy drugs, to pyroptosis. Produced by the
Product Properties
Clonality:
Polyclonal
Concentration:
1 mg/mL.
Molecular Weight:
Predicted band size: 55 kDa
Isotype:
IgG
UniProt:
O60443
Buffer:
1*PBS (pH7.4), 0.2% BSA, 50% Glycerol. Preservative: 0.05% Sodium Azide.
Purity:
Immunogen affinity purified.
Form:
Liquid
Target:
ICERE-1, GSDME-NT, GSDME-CT, GSDME, DFNA5, ICERE1
Antibody Type:
Primary Antibody
Application Notes
Application Dilute:
WB:1:500-1:1,000 ,IHC-P:1:50-1:200 ,FC:1:50-1:100