FSH beta Rabbit Polyclonal Antibody, Unconjugated
Catalog Number:
HBO-ER1901-19
Product Overview
Article Name:
FSH beta Rabbit Polyclonal Antibody, Unconjugated
Biozol Catalog Number:
HBO-ER1901-19
Supplier Catalog Number:
ER1901-19
Alternative Catalog Number:
HBO-ER1901-19
Manufacturer:
HUABIO
Host:
Rabbit
Category:
Antikörper
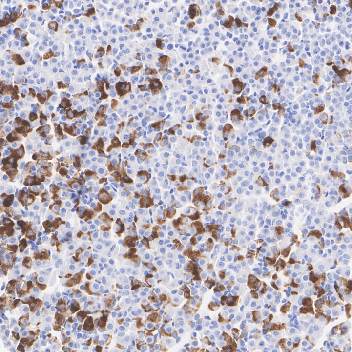
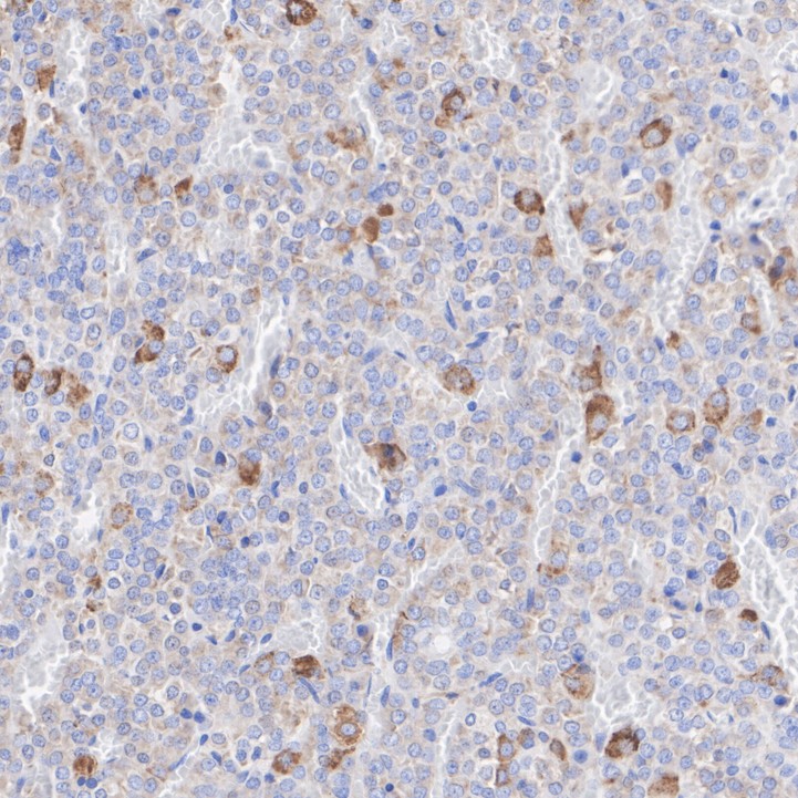
Application:
FC, IHC-P, WB
Species Reactivity:
Human, Mouse, Rat
Immunogen:
Synthetic peptide within Human FSH beta aa 37-86 / 129.
Conjugation:
Unconjugated
Alternative Names:
Follicle Stimulating Hormone antibody Follicle stimulating hormone beta polypeptide antibody Follicle stimulating hormone beta subunit antibody Follitropin beta chain antibody Follitropin subunit beta antibody FSH-B antibody FSH-beta antibody FSHB antibo
Product Description
Follitropin subunit beta also known as follicle-stimulating hormone beta subunit (FSH-B) is a protein that in humans is encoded by the FSHB gene. Alternative splicing results in two transcript variants encoding the same protein. The pituitary glycoprotei
Product Properties
Clonality:
Polyclonal
Concentration:
1 mg/mL
Molecular Weight:
Predicted band size: 15 kDa
Isotype:
IgG
UniProt:
P01225
Buffer:
1*PBS (pH7.4), 0.2% BSA, 50% Glycerol. Preservative: 0.05% Sodium Azide.
Purity:
Immunogen affinity purified.
Form:
Liquid
Target:
FSHB
Antibody Type:
Primary Antibody
Application Notes
Application Dilute:
WB: 1:500-1:2,000 ,IHC-P: 1:1,000-1:4,000 ,FC: 1:50-1:100