FoxP1 Rabbit Polyclonal Antibody, Unconjugated

Catalog Number: HBO-ER1901-26
Article Name: FoxP1 Rabbit Polyclonal Antibody, Unconjugated
Biozol Catalog Number: HBO-ER1901-26
Supplier Catalog Number: ER1901-26
Alternative Catalog Number: HBO-ER1901-26
Manufacturer: HUABIO
Host: Rabbit
Category: Antikörper
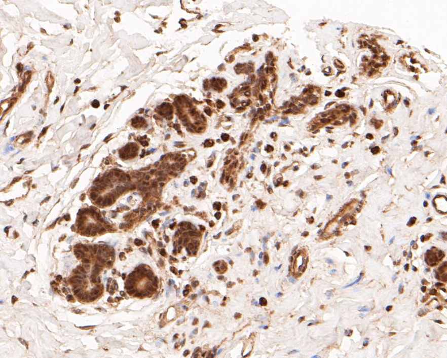
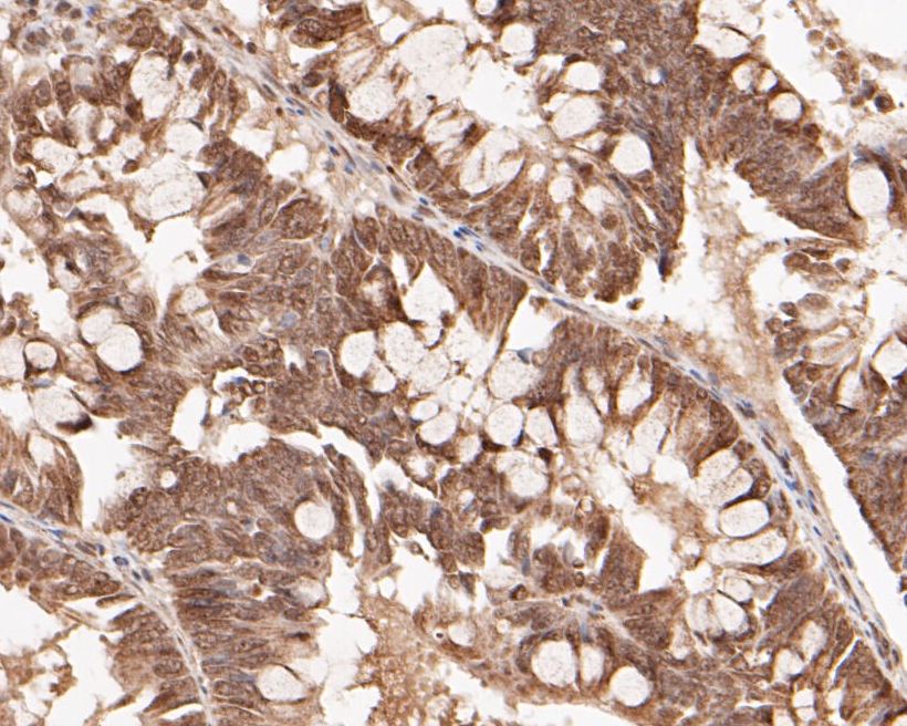
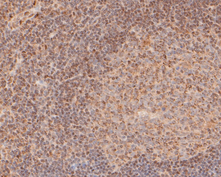
Application: FC, IHC-P, WB
Species Reactivity: Human, Rat
Immunogen: Synthetic peptide within C-terminal of human FoxP1.
Conjugation: Unconjugated
Alternative Names: 12CC4 antibody FLJ23741 antibody Fork head related protein like B antibody Forkhead box P1 antibody Forkhead box protein P1 antibody FOX P1 antibody FOXP 1 antibody foxp1 antibody FOXP1_HUMAN antibody Glutamine rich factor 1 antibody hFKH1B antibody HSPC
Forkhead box protein P1 is a protein that in humans is encoded by the FOXP1 gene. FOXP1 is necessary for the proper development of the brain, heart, and lung in mammals. It is a member of the large FOX family of transcription factors. This gene belongs t
Clonality: Polyclonal
Concentration: 1 mg/mL
Molecular Weight: Predicted band size: 75 kDa
Isotype: IgG
UniProt: Q9H334
Buffer: 1*PBS (pH7.4), 0.2% BSA, 50% Glycerol. Preservative: 0.05% Sodium Azide.
Purity: Immunogen affinity purified.
Form: Liquid
Target: FOXP1
Antibody Type: Primary Antibody
Application Dilute: WB:1:500-1:2,000 ,IHC-P:1:200-1:1,000 ,FC:1:50-1:100