Anti-TIGIT (Hu) from Mouse (TG2)

Artikelnummer: ODN-DIA-TG2-M
Artikelname: Anti-TIGIT (Hu) from Mouse (TG2)
Artikelnummer: ODN-DIA-TG2-M
Hersteller Artikelnummer: DIA-TG2-M
Alternativnummer: ODN-DIA-TG2-M
Hersteller: OncoDianova
Wirt: Mouse
Kategorie: Antikörper
Applikation: IHC
Spezies Reaktivität: Human
Immunogen: Recombinant peptide from extracellular domain of human TIGIT
Konjugation: Unconjugated
Alternative Synonym: TIGIT,T-cell immunoreceptor with Ig and ITIM domains,V-set and immunoglobulin domain-containing protein 9,V-set and transmembrane domain-containing protein 3

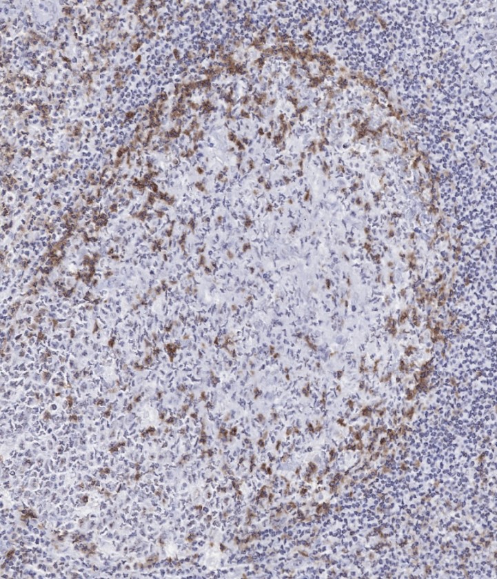
Clone TG2 has been developed to detect TIGIT in routine formalin-fixed paraffin-embedded tissue specimen.

TIGIT (T-cell immunoreceptor with Ig and ITIM domains) is a member of the poliovirus receptor (PVR) family and acts as an im - mune checkpoint protein expressed on subsets of T lymphocytes. The expression of TIGIT has been reported on NK cells, regulatory T cells, follicular T helper cells, memory CD4+ T cells, and CD8+ T cells, but it is not expressed on B cells or naive CD4+ T cells. TIGIT may be upregulated on naive CD4+ T cells upon activation. TIGIT has been shown to be upregulated on T cells in multiple cancer models. The ligands CD155 and CD112 are also highly expressed on dendritic cells and macrophages in several types of cancer. Additionally, TIGIT expression is highly correlated with the expression of other coinhibi tory molecules, including PD-1. In addition to directly inhibiting cytotoxic T-cell activity, TIGIT can foster an immunosuppressive microenvironment through its impact on other immune cells, for example, by binding to CD155 on the surface of dendritic cells or by manipulating NK cell activity. TIGIT inhibiting drugs are currently being developed. Immunohistochemical application of monoclonal antibody TG2 may provide valuable information for clinical research and potential therapeutic interventions specifically targeting the TIGIT -related tumor immunology checkpoint.

 

Klonalität: Monoclonal
Klon-Bezeichnung: TG2
Isotyp: IgG1
NCBI: 201633
Pubmed: 30514251,30733837,30827759,31423216
UniProt: Q495A1
Puffer: PBS
Target-Kategorie: TIGIT
Application Verdünnung: Immunohistochemistry (IHC): 1:100 - 1:200
anti-TIGIT clone TG2 immunohistochemistry: Normal human tonsil with numerous TIGIT-positive lymphocytes