Rekombinante Antikörper
Monoklonale Kaninchen-Antikörper - 10 µl Testgröße!
Rekombinante Antikörper haben viele Vorteile für den Anwender, darunter die unbegrenzte Verfügbarkeit sequenzdefinierter Klone und die kosteneffiziente Herstellung. Viele methodische Entwicklungen und Erkenntnisse in der modernen Immunologie wären ohne monoklonale Antikörper aus Hybridomen nicht möglich gewesen.
Unsere Partnerfirma Huabio bietet einen kuratierten Katalog rekombinanter Antikörper an, der mit einer Mission erstellt wurde: Qualität vor Quantität. Jedes Produkt im Huabio-Katalog ist hausintern hergestellt und getestet und mit der HUABIO-Garantie abgesichert.
Probieren Sie es aus! Huabio bietet Ihnen eine Auswahl von Antikörpern in 20µl-Testgröße an, damit Sie ohne große Investitionen herausfinden können, welcher Antikörper der richtige für Ihr Experiment ist. Probieren Sie also heute noch einen (oder fünf) Huabio-Antikörper aus!
Ausgewählte rekombinante rabbit monoklonale Antikörper:
Rekombinanter aktive Caspase-3 monoklonaler Antikörper (HBO-ET1602-47 / HBO-ET1602-47TR)
Huabios rekombinanter monoklonaler Kaninchen-Primärantikörper mit Peer-Review wurde für die Verwendung mit humanen und porcinen Proben im Western Blotting, in der Immunhistochemie und in der Immunzytochemie validiert.
![]() |
ICC-Färbung von aktiver Caspase-3 in Hela-Zellen (grün). Formalinfixierte Zellen wurden mit 0,1% Triton X-100 in TBS für 10 Minuten bei Raumtemperatur permeabilisiert und mit 1% BSA für 15 Minuten bei Raumtemperatur geblockt. Die Zellen wurden für 1 Stunde bei Raumtemperatur mit dem primären Antikörper (HBO-ET1602-47, 1/50) inkubiert und mit PBS gewaschen. Als sekundärer Antikörper wurde Alexa Fluor®488 Goat anti-Rabbit IgG in einer Verdünnung von 1/1.000 verwendet. Die nukleäre Gegenfärbung ist DAPI (blau). |
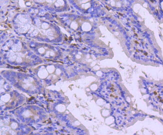
Rekombinanter PARP monoklonaler Antikörper (HBO-ET1608-56 / HBO-ET1608-56TR)
Dieser rekombinante monoklonale Kaninchen-Primärantikörper wurde für die Verwendung im Western Blotting, in der Immunhistochemie, in der Immunzytochemie und in der Durchflusszytometrie für Proben von Mensch, Maus und Ratte validiert.
![]() |
Immunhistochemische Analyse von in Paraffin eingebettetem Dickdarmgewebe der Maus mit dem Anti-PARP-Antikörper. Die Schnitte wurden 20 Minuten lang mit hitzevermitteltem Antigen-Retrieval mit Tris-EDTA-Puffer (pH 8,0-8,4) vorbehandelt. 30 Minuten lang wurde das Gewebe bei Raumtemperatur in 5 % BSA geblockt, mit ddH2O und PBS gewaschen und anschließend 30 Minuten lang bei Raumtemperatur mit dem primären Antikörper (HBO-ET1608-56, 1/50) inkubiert. Die Detektion wurde mit einem HRP-konjugierten Kompaktpolymersystem durchgeführt. Als Chromogen wurde DAB verwendet. Die Gewebe wurden mit Hämatoxylin gegengefärbt und mit DPX eingebettet. |
Rekombinanter ATG5 monoklonaler Antikörper (HBO-ET1611-38 / HBO-ET1611-38TR)
Dieser rekombinante monoklonale Kaninchen-Antikörper mit Peer-Review wurde in Proben von Mensch, Maus und Ratte für die Verwendung in Western Blotting, Immunhistochemie, Immunzytochemie, Durchflusszytometrie und IP validiert.
![]() |
ICC-Färbung von ATG5 in Hela-Zellen (grün). Formalinfixierte Zellen wurden mit 0,1% Triton X-100 in TBS für 10 Minuten bei Raumtemperatur permeabilisiert und mit 1% BSA für 15 Minuten bei Raumtemperatur geblockt. Die Zellen wurden mit dem primären Antikörper (HBO-ET1611-38, 1/50) für 1 Stunde bei Raumtemperatur inkubiert und mit PBS gewaschen. Als sekundärer Antikörper wurde Alexa Fluor®488 Goat anti-Rabbit IgG in einer Verdünnung von 1/1.000 verwendet. Die nukleäre Gegenfärbung ist DAPI (blau). |
11.05.2021
Langzeit-Organoid-Ku...
Afamin/Wnt3a-Komplex - jetzt mit 10 % Rabatt
Unbeschichtete ELISA...
Die kostengünstige Wahl – jetzt mit 30 % Rabatt
Mikroplastik
Referenzmaterialien von LGC Standards - mit 20 % Rabatt!
CUT&Tag-IT
Genomweite Analyse von Histonmarkierungen
Die neuen Labortops!
Bis zu 80 % Rabatt auf Laborbedarf




