Filteroptionen
Kategorien
Spezies-Reaktivität
- all (21)
- animal (2)
- canine (14)
- feline (1)
- fungi (1)
- hamster (1)
- human (655)
- monkey (9)
- mouse (154)
- multispecies (1)
- murine (2)
- plant (1)
- porcine (5)
- rat (89)
- sars (3)
- sars-cov-2 (3)
- virus (29)
Wirt
- bovine (1)
- canine (7)
- gallus (1)
- goat (4)
- human (202)
- human/rat (1)
- monkey (9)
- mouse (66)
- mouse/rat (16)
- porcine (3)
- rabbit (80)
- rat (25)
- sheep (66)
Hersteller
- 2mag (80)
- 3D Bio-Tissues (10)
- 3Helix (12)
- 4basebio (27)
- A. Johnen Verpackungen (15)
- A. Rahf Laborbedarf (4)
- ABM (1)
- ABP Biosciences (690)
- ABclonal (19602)
- ADS Biotec Ltd (105)
- AHN Biotechnologie (18)
- AIT France (410)
- ALPCO (374)
- ARP American Research Products (7517)
- ATAGO (117)
- ATTO-TEC (921)
- Abbexa (341950)
- Abbkine Scientific (3383)
- Abcepta (122506)
- Abeomics (35330)
- Abiel (12)
- Abmole Bioscience (12468)
- Abnova (96080)
- Absolute Antibody (36693)
- AcroBiosystems (11277)
- Active Motif (3554)
- AddexBio (464)
- Adooq Bioscience (72724)
- Advantec (1511)
- Affinity Biosciences (33523)
- Agdia EMEA (2264)
- Agrisera (2526)
- Ahlstrom Falun (64)
- Ahlstrom-Munksjö (28)
- Alan and Co (3)
- Albert Kuhn (8)
- Almedica (6)
- Alpha Diagnostic (14301)
- Alpha Laboratories (8)
- AlphaScience (3)
- AlphaTecSystems (197)
- AlphaThera (108)
- Altmann Analytik (3)
- Amarell (157)
- Amcor (4)
- Ampersand Biosciences (120)
- Amplitech (1)
- AnaSpec (2231)
- Ananda Devices (2)
- Anatrace (1839)
- Anogen-Yes Biotech Laboratories (683)
- Antibodies Incorporated (2353)
- Antibodies.com (178563)
- Anton Paar (23)
- ApexBio (26042)
- Apollo Herkenrath (27)
- Apop Biosciences (10)
- Aptum Biologics (116)
- Arbor Assays (221)
- Arctiko (38)
- Arlington Scientific (106)
- As One (893)
- Assay Biotechnology (24729)
- Astra Biotech GmbH (55)
- Atlas Antibodies (45329)
- Aves Labs (105)
- Aviva (547182)
- Azenta (10)
- B-Safety (42)
- B. Braun (236)
- BANDELIN (310)
- BBI Solutions (718)
- BEN Biochemical (216)
- BINDER GmbH (295)
- BIO SB (4111)
- BIOMAT (497)
- BIOZOL (91)
- BMA Biomedicals (1012)
- BOCHEM Instrumente GmbH (808)
- BR Solution (36)
- BRAND (2483)
- BRinova (2)
- BT Lab (25410)
- Bachem (6354)
- Barnstead (11)
- BartelsRieger (55)
- Behr (330)
- Beijing Grinder (154)
- Bel-Art (227)
- BellBrook Labs (266)
- Benchmark Scientific (4)
- Bergmann Kartonagen (9)
- Bierbaum-Proenen (75)
- Bio X Cell (1744)
- BioActs (711)
- BioAssay Systems (463)
- BioAssay Works (103)
- BioChain Institute (2438)
- BioChem Fluidics (448)
- BioPorto Diagnostics (256)
- BioServUK (395)
- BioTeZ (205)
- BioVendor (1345)
- Biochrom (76)
- Bioconcept (430)
- Biogenex (533)
- Biolegend (34795)
- Biomatik Corporation (76132)
- Biomedica (31)
- Bionis (31)
- Biorbyt (1639517)
- Bioss (344450)
- Biosynex (114)
- Biosynth (250948)
- Biotium (46987)
- Bioworld Technology (40772)
- BlueGene (107235)
- Boettger (36)
- Bohemia Cristal (134)
- Bohlender (984)
- Boster Bio (139280)
- Brady (316)
- BrainXell (23)
- Buddeberg (58)
- BÜCHI (43)
- Bürkle (1232)
- C. Giese GmbH (52)
- CALPRO (6)
- CETI (639)
- CH3 BioSystems (184)
- Calibre Scientific (2)
- Cape Biologix Technologies (61)
- Caprico Biotechnologies (3585)
- Cedarlane (24837)
- Cell Biolabs (646)
- Cellcolabs (2)
- CeramTec (4)
- CertoClav (33)
- Charles River Laboratories (377)
- Chem Service (9530)
- ChemScene (88166)
- Chondrex (918)
- Chromatrap (141)
- Citotest (6)
- Clonit (268)
- Cloud-Clone (52947)
- Cole-Parmer (190)
- Columbia Biosciences (286)
- Concise Separations (171)
- Coolike (5)
- Cope (1)
- Corning (275)
- Cortez Diagnostics (7)
- Covalab (10844)
- Creative BioMart (4775)
- Creative Biolabs (41278)
- Cryonos (87)
- Crystal (39)
- Cusabio (768250)
- Cyagen Biosciences Inc. (925)
- Cygnus Technologies (529)
- Cytognos (68)
- Cytoskeleton (368)
- DACOS (10)
- DB-Biotech (483)
- DCS Diagnostics (931)
- DIA.PRO (119)
- DIAsource ImmunoAssays (494)
- DLAB (3)
- DLDEVELOP (30167)
- DOSTMANN electronic (108)
- DRG Instruments (632)
- DWK Life Sciences (1862)
- DYMO (111)
- Daresbury Proteins (55)
- Deutsch und Neumann (447)
- Dextra Laboratories (780)
- Diba (1327)
- Dietmar Knabe (2)
- Dominique Dutscher (4)
- Dr. Ehrenstorfer (11358)
- Dr. Weigert (54)
- Dräger (147)
- DuPont (28)
- ELITech (31)
- ELK Biotechnology (21289)
- ESCO Lifesciences GmbH (211)
- EXBIO (4760)
- EXCELITAS (20)
- EastCoast Bio (2086)
- Ebba Biotech (102)
- Echelon Biosciences (748)
- Ecoli Dx, s.r.o. (244)
- EdgeBio (181)
- Elabscience (35902)
- Elkay (25)
- Elma Schmidbauer GmbH (129)
- Encapsula NanoSciences (16)
- Endotherm (785)
- EnkiLife (25442)
- Enzo Life Sciences (6771)
- Epredia (233)
- EuroClone (414)
- Eurocell (13)
- Everest (6896)
- Excelitas Noblelight GmbH (380)
- FRYKA (24)
- FabGennix (6544)
- Fahsig (3)
- Firebird Optics (46)
- Firefly (895)
- Focus Biomolecules (1663)
- Franz Mensch (19)
- Fritsch (287)
- Fritz Arndt (10)
- Fujifilm Irvine Scientific (1840)
- Fuller (172)
- Fuller Laboratories (11)
- Funke Gerber (110)
- Future Fields (6)
- GA INTERNATIONAL (25)
- GVS (49)
- Ganterie (4)
- Gebra (40)
- GeneDireX (204)
- GeneTex (48318)
- Generic Assays / Medipan (3)
- Genesee Scientific (5531)
- GenomeMe (535)
- Genscript (4229)
- Gentian (8)
- GenuIN Biotechnologies (4282)
- Gerber Instruments (120)
- Gerd Schneider (12)
- Gerhard Analytical Systems (2)
- Glindemann (8)
- Golden Gate Scientific (4)
- Gorr Transporttechnik (26)
- Grant (324)
- Grauer (14)
- Green Mountain Antibodies (110)
- Greiner Bio-One (74)
- Grosseron (3)
- Grün-Pumpen (10)
- Guangzhou JET Bio-Filtration (127)
- HCL (23)
- HK-Pack (23)
- HORO Dr. Hofmann (4)
- HUABIO (7377)
- HUMAN (223)
- HWS Labortechnik (66)
- Hahnemühle (327)
- Hailo (2)
- Hanhart Chronographen 1882 (15)
- HansaBioMed (171)
- Hardy Diagnostics (3093)
- Harry Gestigkeit (71)
- Hartmann (36)
- Heathrow Scientific (466)
- Hecht Glaswarenfabrik (232)
- Heidolph (423)
- Heinz Herenz Hamburg (54)
- Hellma (185)
- HelloBio (1466)
- Hettich Benelux (93)
- Hielscher Ultrasonics (30)
- High Purity Standards (2536)
- Hilgenberg (50)
- Hirschmann Laborgeräte (844)
- Honeywell Safety Products (54)
- Hospidex (20)
- Huber (245)
- Huixia (13)
- Hycult (1695)
- Hülden (17)
- Hünersdorff (99)
- IBA (214)
- IBI Scientific (1311)
- ICL (1363)
- IDCP B.V. (46)
- IHC WORLD (635)
- IKA (1135)
- ION Biosciences (120)
- IPHASE Biosciences (1482)
- IQ Products (752)
- ISOHEAT GmbH (155)
- ISOLAB (620)
- Ideal-tek (66)
- Igefa (22)
- ImmuQuest (498)
- ImmunoChemistry Technologies (502)
- ImmunoReagents (1120)
- Immunostep (483)
- Industrial Physics (44)
- Ingenetix (483)
- Interstuhl (60)
- Invent BioTechnologies (80)
- Isca Biochemicals (439)
- JUTEC (23)
- Jackson ImmunoResearch (3913)
- Johann W. Schimmel (11)
- Juchheim Laborgeräte (47)
- Julabo (355)
- KD Scientific (18)
- KGW-Isotherm (195)
- KINEMATICA GmbH (103)
- Kaiser (2)
- Kamiya Biomedical Company (2306)
- Karl Hammacher (124)
- Kartell LABWARE (605)
- Kautex (293)
- Kementec (77)
- Kerafast (2958)
- Kern und Sohn (1053)
- Keter Luxembourg (1)
- Key Surgical (5)
- Kimberly-Clark (113)
- Kleinfeld Labortechnik (14)
- Klett Kunststofftechnik (12)
- Konus Italia Group (22)
- Korff (36)
- Krishgen Biosystems (24652)
- Kroschke (26)
- Krüss (49)
- Kundert Vario (10)
- Köttermann (56)
- LAUDA (127)
- LEHRICH (10)
- LEONHARDY VP (29)
- LGC Standards (71)
- LKT Labs (3144)
- LLG Labware (14075)
- LMS Consult (1)
- LOSCH (1)
- La-Pha-Pack (80)
- Lab-Club (3684)
- Laborgeräte Süd (18)
- Lampire Biological Labs (1820)
- Lamy Rheology (46)
- Langkavel Office + Lab (24)
- Larodan (5620)
- Leadgene Biomedical (2248)
- Lenz Laborglas (1311)
- Licefa (1)
- Liebherr (93)
- LifeSpan Biosciences (1292741)
- LifeTein (24)
- Liga Trap Technologies (37)
- Linaris (5835)
- Linker Industrie-Technik (277)
- Liposoma research (100)
- List Biological Labs (80)
- Ludwig Schneider (377)
- Lutz Pumpen (35)
- Lybe Scientific (12)
- MABTECH (1848)
- MAPA (138)
- MBL (5737)
- MEDITE (2)
- MERCK Millipore (92)
- MP Biomedicals Germany (10970)
- MS Validated Antibodies (543)
- Maassen GmbH (17)
- Macherey-Nagel (2082)
- Manulatex (13)
- Marienfeld (158)
- Matriks Biotechnology (101)
- MaxVision Biosciences (112)
- MedNet (12)
- MedSchenker (14)
- MedchemExpress (193896)
- Medix Biochemica (1575)
- Memmert (286)
- Merck (68)
- MetallWarenfabrik Mühlacker (10)
- Mettler-Toledo (557)
- Micros Produktion (17)
- Miele (87)
- Mikromol (8062)
- Millipore (223)
- Mirus Bio (181)
- MoBiTec (324)
- Molecular Dimension (2138)
- Monosan (2572)
- Montana Molecular (164)
- Morgan Advanced Materials (217)
- MyBiosource (2448965)
- NABAS (24)
- NORMA (75)
- NSJ Bioreagents (36496)
- NZYtech (3438)
- Nabertherm (219)
- NanoHelix (186)
- NanoTag Biotechnologies (321)
- Nanoprobes (231)
- Nasco Sampling (47)
- NeXtal (381)
- NeoBiotechnologies (16438)
- Neuromics (2150)
- Nexotech (6)
- Nitritex (131)
- Nordic BioSite (487223)
- Nordic Lab (55)
- NordicMubio (2881)
- Normag (4)
- Normax (4)
- Normensand (1)
- Novelis Deutschland GmbH (16)
- OHAUS (651)
- OLM Diagnostics (3)
- OMNILAB (23)
- ORI (3)
- OSRAM (147)
- OZ Biosciences (605)
- OaCP (114)
- Oasis Diagnostics (14)
- Obermeier (7)
- OncoDianova (14)
- Operon (98)
- Oxford Biomedical Research (955)
- P/S Kunststoffwerke (18)
- PBL Assay Science (138)
- PGP (33)
- PMS TIP TEKNOLOJILERI (45)
- PanPath (689)
- Peak Scientific (7)
- Pfennig Reinigungstechnik GmbH (40)
- Phoenix Instrument (37)
- Poly-Dtech (54)
- PolyScience (87)
- Pricella Biotechnology (372)
- PrimerDesign (1645)
- ProFoldin (492)
- ProSci (46455)
- ProSpec-Tany Technogene (6977)
- ProteinArk (1161)
- ProteoGenix (30950)
- Qkine (515)
- Quantimetrix (44)
- RD-Biotech (41)
- RJH Biosciences (30)
- ROBU (90)
- ROMMELSBACHER (3)
- RSG Rostfrei (84)
- Randox (2)
- Ratiolab (274)
- Rauschenberger Innovations (4)
- RayBiotech (113477)
- Reagecon (3689)
- Reagena (34)
- Reed Biotech (10027)
- Reitenspieß-Bürsten (97)
- Reliance Biosciences (3)
- Reprocell (266)
- Resch Laborglas (32)
- Retsch (913)
- Rettberg (37)
- RevMAb (451)
- Riken Keiki (30)
- Rische + Herfurth (46)
- Ritter (99)
- Rixius (55)
- Roboscreen (187)
- Rockland Immunochemicals (12759)
- Roland Watzdorf (18)
- Rometsch GmbH (15)
- Rötzmeier Sicherheitsbehälter (75)
- S-Bio (200)
- SCAT Europe GmbH (387)
- SHP (50)
- SOCOREX (366)
- Saint-Gobain (578)
- Salimetrics (53)
- Sanyou Bio (1048)
- Saropack (1)
- Sarstedt (6)
- Sartorius (1725)
- Sceti (3909)
- Scherf Präzision (164)
- Schorpp (9)
- Schott (66)
- Schwan (28)
- Schwegmann Filtrations (25)
- Schweizer (5)
- Schülke und Mayr (13)
- Scientific Industries (151)
- ScyTek Laboratories (2879)
- SeLENOZYME (91)
- Selleck (22346)
- Semperit (51)
- Seramun Diagnostica (33)
- SiLI (17)
- Sievert (2)
- SignalChem (2202)
- SignalChem Diagnostics (776)
- Sileks (16)
- Silnova (20)
- Sino Biological (244218)
- Snoltherm (63)
- Somagenics (164)
- Sonation (4)
- Sonepar Deutschland (4)
- Sontara (9)
- SouthernBiotech (3563)
- Spherotech (1018)
- Starke Laborbedarf (32)
- Starna (25)
- Statens Serum Institut (321)
- StemBioSys (94)
- Sterilin (38)
- Surplus Systems (16)
- Svanova (38)
- Svar Life Science (75)
- Synabs (1225)
- SÖHNGEN (53)
- TENAK (662)
- TFA Dostmann (75)
- TNC Bio (8)
- TOKU-E (2843)
- TargetMol (135474)
- TdB Labs (281)
- The Native Antigen Company (1632)
- Thermax (14)
- Thermo Elect.LED GmbH (1059)
- Thies Clima (2)
- Thomas Pumpen (45)
- Tintometer (457)
- Toronto Bioscience (360)
- Toronto Research Chemicals (52768)
- Trevigen (334)
- Trinity Biotech (51)
- U-CyTech biosciences (466)
- UBPBio, LLC (769)
- UCS Diagnostics (1)
- US Biological (589185)
- USBECK (232)
- Umweltanalytik Holbach (12)
- Unigloves (192)
- Ushio (35)
- VIDIA (114)
- VITRO (2219)
- VMRD (299)
- VOLTRONIC (35)
- VWR (26)
- Vacuubrand (417)
- Vazyme Biotech (954)
- Vector Laboratories (2546)
- VectorBuilder (231)
- Velp Scientifica (169)
- Vikan (90)
- ViroStat (1323)
- Virusys (160)
- VmP (8)
- WEDO (32)
- Waldmann (2)
- Waring (17)
- Water-i.d. (105)
- Werner Arzneimittel (1)
- Wilhelm Schröder (9)
- Wolf Maschinenbau AG (4)
- Württ. Drahtwarenfabrik (61)
- Württembergische Allplastik (14)
- Xylem Analytics (622)
- Yashraj Biotechnology (55)
- YouSeq (680)
- ZIRBUS technology (62)
- ZVG Zellstoffvertrieb (38)
- ZellBio (748)
- Zymo Research Europe (1144)
- Zytomed Systems (7744)
- asecos (99)
- baseclick (237)
- biomedis (2)
- dianova (1631)
- edding (140)
- eutecma (18)
- eversyn (8)
- helo (4)
- highQu (114)
- interscience (87)
- magtivio (211)
- messner emtronic (21)
- nanoComposix (548)
- nanoimmunotech (214)
- peptides and elephants (1818)
- proQuarz (48)
- reddot Biotech (30515)
- schuett-biotec (234)
- stakpure (79)
- tec-lab (17)
- tesa (4)
- trenzyme (194)
- uvex (356)
Klon-Bezeichnung
- 13c8 (1)
- 16f12 (1)
- 17c10 (1)
- 1f3 (1)
- 3f9 (1)
- 4965 (2)
- 4967 (2)
- 4b9 (2)
- 4h3 (1)
- 6g3 (1)
- 8h4 (1)
- a14 (1)
- a15 (1)
- adipocyte fatty acid binding protein human, goat polyclonal antibody (1)
- adipocyte fatty acid binding protein human, rabbit polyclonal antibody (1)
- adipocyte fatty acid binding protein human, sheep polyclonal antibody (1)
- adiponectin (hek) human, goat polyclonal antibody (1)
- adiponectin (hek) human, rabbit polyclonal antibody (1)
- adiponectin (hek) human, sheep polyclonal antibody (1)
- adiponectin (hek) murine, rabbit polyclonal antibody (1)
- adiponectin (hek) porcine, rabbit polyclonal antibody (1)
- adiponectin (hek) porcine, sheep polyclonal antibody (1)
- adiponectin human, mouse monoclonal antibody, clone: 5e4 (1)
- adiponectin human, mouse monoclonal antibody, clone: 7c11 (1)
- adiponectin human, rabbit polyclonal antibody (1)
- adipophilin human, rabbit polyclonal antibody (1)
- adipophilin human, sheep polyclonal antibody (1)
- agouti-related protein (agrp) human, rabbit polyclonal antibody (1)
- allograft inflammatory factor 1 human, sheep polyclonal antibody (1)
- angiopoietin-like protein 3 human, rabbit polyclonal antibody (1)
- angiopoietin-like protein 3 human, sheep polyclonal antibody (1)
- angiopoietin-like protein 4 (hek) human, sheep polyclonal antibody (1)
- angiopoietin-like protein 4 human, rabbit polyclonal antibody (1)
- angiopoietin-like protein 4 human, sheep polyclonal antibody (1)
- angiostatin human, rabbit polyclonal antibody (1)
- annexin a1 human, rabbit polyclonal antibody (1)
- annexin a1 human, sheep polyclonal antibody (1)
- apolipoprotein d human, rabbit polyclonal antibody (1)
- apolipoprotein d human, sheep polyclonal antibody (1)
- apolipoprotein m human, sheep polyclonal antibody (1)
- apoptosis inhibitor of macrophage human, sheep polyclonal antibody (1)
- beta-microseminoprotein human, rabbit polyclonal antibody (1)
- beta-microseminoprotein human, sheep polyclonal antibody (1)
- club cell protein (cc16) human, rabbit polyclonal antibody (1)
- clusterin canine, rabbit polyclonal antibody (1)
- clusterin canine, sheep polyclonal antibody (1)
- clusterin rat, rabbit polyclonal antibody (1)
- connective tissue growth factor human, rabbit polyclonal antibody (1)
- connective tissue growth factor human, sheep polyclonal antibody (1)
- cxcl12 human, rabbit polyclonal antibody (1)
- cxcl12 human, sheep polyclonal antibody (1)
- cystatin c (e.coli) human, rabbit polyclonal antibody (1)
- cystatin c (e.coli) human, sheep polyclonal antibody (1)
- cystatin c canine, rabbit polyclonal antibody (1)
- cystatin c canine, sheep polyclonal antibody (1)
- cystatin c human, rabbit polyclonal antibody (2)
- cystatin c mouse, rabbit polyclonal antibody (1)
- cystatin c mouse, sheep polyclonal antibody (1)
- cystatin c rat, sheep polyclonal antibody (1)
- decorin human, rabbit polyclonal antibody (1)
- decorin human, sheep polyclonal antibody (1)
- endostatin human, rabbit polyclonal antibody (1)
- enpp1 human (hek), rabbit polyclonal antibody (1)
- enpp1 human (hek), sheep polyclonal antibody (1)
- epidermal fatty acid binding protein human, rabbit polyclonal antibody (1)
- epidermal fatty acid binding protein human, sheep polyclonal antibody (1)
- fam3b human, rabbit polyclonal antibody (1)
- fam3b human, sheep polyclonal antibody (1)
- fetuin-a (ahsg) human, goat polyclonal antibody (1)
- fetuin-a (ahsg) human, rabbit polyclonal antibody (1)
- fetuin-b human (hek), rabbit polyclonal antibody (1)
- fetuin-b human (hek), sheep polyclonal antibody (1)
- fibroblast growth factor 19 human, rabbit polyclonal antibody (1)
- fibroblast growth factor 19 human, sheep polyclonal antibody (1)
- fibroblast growth factor 21 human tag free, sheep polyclonal antibody (1)
- fibroblast growth factor 21 human, rabbit polyclonal antibody (1)
- fibroblast growth factor 21 human, sheep polyclonal antibody (1)
- fibroblast growth factor 21 mouse, rabbit polyclonal antibody (1)
- fibroblast growth factor 23 human, rabbit polyclonal antibody (1)
- follistatin human, sheep polyclonal antibody (1)
- glucose-regulated protein 78 human, sheep polyclonal antibody (1)
- granulysin human, rabbit polyclonal antibody (1)
- granulysin human, sheep polyclonal antibody (1)
- heart fatty acid binding protein human, rabbit polyclonal antibody (1)
- heart fatty acid binding protein human, sheep polyclonal antibody (1)
- hepatitis b protein x (hbx) virus human, rabbit polyclonal antibody (1)
- hs-3 (1)
- insulin receptor human, sheep polyclonal antibody (1)
- interleukin-33 human, rabbit polyclonal antibody (1)
- interleukin-33 human, sheep polyclonal antibody (1)
- leptin human, rabbit polyclonal antibody (1)
- leptin mouse, rabbit polyclonal antibody (1)
- leptin rat, rabbit polyclonal antibody (1)
- leucine-rich alpha-2-glycoprotein human, rabbit polyclonal antibody (1)
- leucine-rich alpha-2-glycoprotein human, sheep polyclonal antibody (1)
- liver fatty acid binding protein human, sheep polyclonal antibody (1)
- lpr-01 (1)
- lpr-02 (1)
- midkine human, rabbit polyclonal antibody (1)
- myosin (cardiac) light chain human, rabbit polyclonal antibody (1)
- myostatin human, bovine polyclonal antibody (1)
- myostatin propeptide human, chicken polyclonal antibody (1)
- myostatin propeptide human, mouse monoclonal antibody, clone: 6e8 (1)
- nesfatin-1 human, sheep polyclonal antibody (1)
- neudesin human, rabbit polyclonal antibody (1)
- neudesin human, sheep polyclonal antibody (1)
- nt-proanp human, sheep polyclonal antibody (1)
- omentin-1 human, rabbit polyclonal antibody (1)
- omentin-1 human, sheep polyclonal antibody (1)
- opg-01 (1)
- opg-13 (1)
- osteoactivin/gpnmb human (hek), rabbit polyclonal antibody (1)
- osteoactivin/gpnmb human (hek), sheep polyclonal antibody (1)
- osteoblast specific factor 1 human, rabbit polyclonal antibody (1)
- osteoblast specific factor 1 human, sheep polyclonal antibody (1)
- osteoblast specific factor 2 human, rabbit polyclonal antibody (1)
- osteoblast specific factor 2 human, sheep polyclonal antibody (1)
- paraoxonase 1 human, sheep polyclonal antibody (1)
- pcsk9 human, rabbit polyclonal antibody (1)
- pcsk9 human, sheep polyclonal antibody (1)
- pigment epithelium-derived factor human, rabbit polyclonal antibody (1)
- pigment epithelium-derived factor human, sheep polyclonal antibody (1)
- placental protein 13 human, rabbit polyclonal antibody (1)
- procalcitonin canine, rabbit polyclonal antibody (1)
- procalcitonin canine, sheep polyclonal antibody (1)
- procalcitonin human, rabbit polyclonal antibody (1)
- procalcitonin human, sheep polyclonal antibody (1)
- procathepsin k human, rabbit polyclonal antibody (1)
- prolactin-inducible protein human, rabbit polyclonal antibody (1)
- prostaglandin-d synthase (lipocalin-type) human, rabbit polyclonal antibody (1)
- prostaglandin-d synthase (lipocalin-type) human, sheep polyclonal antibody (1)
- regenerating protein 1 alpha human, rabbit polyclonal antibody (1)
- regucalcin human, rabbit polyclonal antibody (1)
- regucalcin human, sheep polyclonal antibody (1)
- resistin human, goat polyclonal antibody (1)
- resistin human, rabbit polyclonal antibody (1)
- resistin rat, rabbit polyclonal antibody (1)
- rv11 (1)
- rv12 (1)
- rv3 (1)
- rv4 (1)
- s100a11 human, sheep polyclonal antibody (1)
- s100a12 human, rabbit polyclonal antibody (1)
- s100a12 human, sheep polyclonal antibody (1)
- s100a6 human, rabbit polyclonal antibody (1)
- s100a6 human, sheep polyclonal antibody (1)
- s100a8 human, sheep polyclonal antibody (1)
- s100a9 human, sheep polyclonal antibody (1)
- s100g human, sheep polyclonal antibody (1)
- secretagogin human, rabbit polyclonal antibody (1)
- secretagogin human, sheep polyclonal antibody (1)
- secretagogin rat, rabbit polyclonal antibody (1)
- soluble receptor for advanced glycation end products (srage) human, sheep polyclonal antibody (1)
- spla2-ib human, rabbit polyclonal antibody (1)
- spla2-iia human, rabbit polyclonal antibody (1)
- spla2-iid human, rabbit polyclonal antibody (1)
- srank (soluble rank receptor) human, rabbit polyclonal antibody (1)
- stanniocalcin 1 human, rabbit polyclonal antibody (1)
- stanniocalcin 2 human, rabbit polyclonal antibody (1)
- stanniocalcin 2 human, sheep polyclonal antibody (1)
- tfr-01 (1)
- thyrostimulin beta subunit human, rabbit polyclonal antibody (1)
- trap-01 (1)
- trefoil factor 1 human, rabbit polyclonal antibody (1)
- trefoil factor 1 human, sheep polyclonal antibody (1)
- trefoil factor 2 human, rabbit polyclonal antibody (1)
- trefoil factor 2 human, sheep polyclonal antibody (1)
- trefoil factor 3 human, rabbit polyclonal antibody (1)
- trefoil factor 3 human, sheep polyclonal antibody (1)
- urinary trypsin inhibitor human, rabbit polyclonal antibody (1)
- uromodulin human, rabbit polyclonal antibody (1)
- uromodulin human, sheep polyclonal antibody (1)
- visinin-like protein 1 human, rabbit polyclonal antibody (1)
- visinin-like protein 1 human, sheep polyclonal antibody (1)
- y77 (1)
- yb91 (1)
- zinc-alpha-2-glycoprotein human, rabbit polyclonal antibody (1)
- zinc-alpha-2-glycoprotein human, sheep polyclonal antibody (1)
- zymogen granule membrane protein 16 human, rabbit polyclonal antibody (1)
- zymogen granule membrane protein 16 human, sheep polyclonal antibody (1)
Applikation
- Amniotic fluid (16)
- Baboon serum (8)
- Body fluids (4)
- Bronchoalveolar lavage (3)
- Cell Extracts (2)
- Cell culture lysate (4)
- Cell culture medium (4)
- Cell culture supernatant (132)
- Cell lysate (1)
- Cerebrospinal fluid (20)
- Cord Blood (1)
- Culture medium (1)
- Cynomolgus serum (2)
- ELISA (168)
- Enzyme Immunoassay (1)
- Fluids (6)
- ICC (1)
- IF (4)
- IHC (95)
- IP (5)
- Immunoturbidimetry (1)
- LF (2)
- Milk (1)
- Plasma (82)
- Plasma (EDTA citrate heparin) (4)
- Plasma-Citrate (59)
- Plasma-EDTA (65)
- Plasma-EDTA+PHMB (3)
- Plasma-Heparin (57)
- Saliva (9)
- Seminal plasma (1)
- Serum (232)
- Stool (3)
- Synovial fluid (1)
- Tissue extract (2)
- Tissue homogenates (5)
- Urine (30)
- WB (178)
- Whole blood (1)
Adipocyte Fatty Acid Binding Protein Human, Goat Polyclonal Antibody
- Bilder: 1
- Applikation: 3
| Artikelnummer: | BVD-RD184037100 |
| Hersteller: | BioVendor |
| Applikation: | ELISA, IHC, WB |
| Kategorie: | Antikörper |
| Menge: | 0.1 mg |
| Preise anzeigen | |
(1) Bilder
Osteoblast Specific Factor 2 Human, Sheep Polyclonal Antibody
- Bilder: 1
- Applikation: 2
| Artikelnummer: | BVD-RD184045100 |
| Hersteller: | BioVendor |
| Applikation: | IHC, WB |
| Kategorie: | Antikörper |
| Menge: | 0.1 mg |
| Preise anzeigen | |
(1) Bilder
Epidermal Fatty Acid Binding Protein Human, Sheep Polyclonal Antibody
- Bilder: 1
- Applikation: 3
| Artikelnummer: | BVD-RD184060100 |
| Hersteller: | BioVendor |
| Applikation: | ELISA, IHC, WB |
| Kategorie: | Antikörper |
| Menge: | 0.1 mg |
| Preise anzeigen | |
(1) Bilder
Angiopoietin-Like Protein 4 (HEK) Human, Sheep Polyclonal Antibody
- Bilder: 1
- Applikation: 3
| Artikelnummer: | BVD-RD184073100-02 |
| Hersteller: | BioVendor |
| Applikation: | ELISA, IHC, WB |
| Kategorie: | Antikörper |
| Menge: | 0.1 mg |
| Preise anzeigen | |
(1) Bilder
Zinc-Alpha-2-Glycoprotein Human, Sheep Polyclonal Antibody
- Bilder: 1
- Applikation: 3
| Artikelnummer: | BVD-RD184093100 |
| Hersteller: | BioVendor |
| Applikation: | ELISA, IHC, WB |
| Kategorie: | Antikörper |
| Menge: | 0.1 mg |
| Preise anzeigen | |
(1) Bilder
Omentin-1 Human, Sheep Polyclonal Antibody
- Bilder: 1
- Applikation: 2
| Artikelnummer: | BVD-RD184100100 |
| Hersteller: | BioVendor |
| Applikation: | IHC, WB |
| Kategorie: | Antikörper |
| Menge: | 0.1 mg |
| Preise anzeigen | |
(1) Bilder
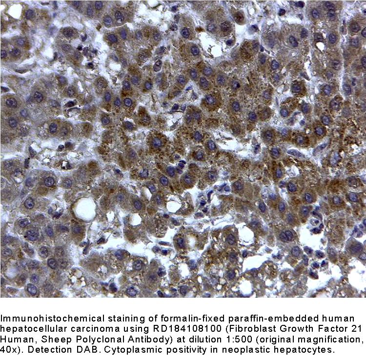
Fibroblast Growth Factor 21 Human, Sheep Polyclonal Antibody
- Bilder: 1
- Applikation: 3
| Artikelnummer: | BVD-RD184108100 |
| Hersteller: | BioVendor |
| Applikation: | ELISA, IHC, WB |
| Kategorie: | Antikörper |
| Menge: | 0.1 mg |
| Preise anzeigen | |
(1) Bilder
Apolipoprotein D Human, Sheep Polyclonal Antibody
- Bilder: 1
- Applikation: 3
| Artikelnummer: | BVD-RD184118100 |
| Hersteller: | BioVendor |
| Applikation: | ELISA, IHC, WB |
| Kategorie: | Antikörper |
| Menge: | 0.1 mg |
| Preise anzeigen | |
(1) Bilder
Secretagogin Human, Sheep Polyclonal Antibody
- Bilder: 1
- Applikation: 3
| Artikelnummer: | BVD-RD184120100 |
| Hersteller: | BioVendor |
| Applikation: | ELISA, IHC, WB |
| Kategorie: | Antikörper |
| Menge: | 0.1 mg |
| Preise anzeigen | |
(1) Bilder
ENPP1 Human (HEK), Sheep Polyclonal Antibody
- Bilder: 1
- Applikation: 3
| Artikelnummer: | BVD-RD184124100 |
| Hersteller: | BioVendor |
| Applikation: | ELISA, IHC, WB |
| Kategorie: | Antikörper |
| Menge: | 0.1 mg |
| Preise anzeigen | |
(1) Bilder
