Anti-HPV-16 (Human Papilloma Virus 16) Antibody, Clone: [HPV16/1296], Mouse, Monoclonal

Artikelnummer: ABT-AH13686-U0020
Artikelname: Anti-HPV-16 (Human Papilloma Virus 16) Antibody, Clone: [HPV16/1296], Mouse, Monoclonal
Artikelnummer: ABT-AH13686-U0020
Hersteller Artikelnummer: AH13686-U0020
Alternativnummer: ABT-AH13686-U0020-20UG
Hersteller: Abcepta
Wirt: Mouse
Kategorie: Antikörper
Applikation: IF, IHC-P
Alternative Synonym: HPV-16, HPV-16 capsid, HPV16 L1, HPV16 major capsid protein L1, Human papillomavirus type 16 L1, Human papillomavirus type 16 major capsid protein L1
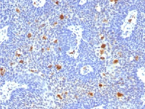
Reacts with E6 protein of human papilloma virus type 16 (HPV-16. Infection with specific types of HPV has been associated with an increased risk of developing cervical neoplasia. HPV types 6 and 11 have been associated with relatively benign diseases such as genital warts but types 16 and 18 are strongly associated with cervical, vaginal, and vulvar malignancies. The antibody reacts very strongly with formalin-fixed, paraffin-embedded tissues containing HPV-16.
Klonalität: Monoclonal
Klon-Bezeichnung: [HPV16/1296]
Antibody Type: Monoclonal Antibody
Formalin-fixed, paraffin-embedded human Cervix stained with HPV-16 Monoclonal Antibody (HPV16/1296)