Anti-ADCY6
Artikelnummer:
ATA-HPA040773
| Artikelname: |
Anti-ADCY6 |
| Artikelnummer: |
ATA-HPA040773 |
| Hersteller Artikelnummer: |
HPA040773 |
| Alternativnummer: |
ATA-HPA040773-100,ATA-HPA040773-25 |
| Hersteller: |
Atlas Antibodies |
| Wirt: |
Rabbit |
| Kategorie: |
Sonstiges |
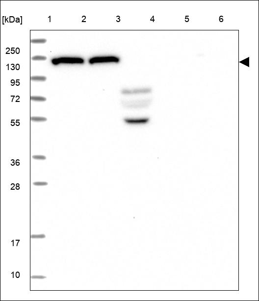
| Applikation: |
WB |
| Spezies Reaktivität: |
Human |
| Alternative Synonym: |
AC6 |
| Rabbit Polyclonal ADCY6 Antibody against Human adenylate cyclase 6. Validated for Western Blot |
| Klonalität: |
Polyclonal |
| Konzentration: |
0.1 |
| NCBI: |
112 |
| UniProt: |
O43306 |
| Puffer: |
40% glycerol and PBS (pH 7.2). 0.02% sodium azide is added as preservative. |
| Sequenz: |
EEKAMLAKLQRTRANSMEGLMPRWVPDRAFSRTKDSKAFRQMGIDDSSKDNRGTQDALNPEDEVD |
|
WB Image Caption 1 |