Plk1 rabbit pAb, Rabbit, Polyclonal

Artikelnummer: EBT-ES3784
Artikelname: Plk1 rabbit pAb, Rabbit, Polyclonal
Artikelnummer: EBT-ES3784
Hersteller Artikelnummer: ES3784
Alternativnummer: EBT-ES3784-50, EBT-ES3784-100
Hersteller: ELK Biotechnology
Wirt: Rabbit
Kategorie: Antikörper
Applikation: ELISA, IF, IHC, WB
Spezies Reaktivität: Human, Mouse, Rat
Immunogen: Synthesized peptide derived from Plk1 . at AA range: 80-160
Alternative Synonym: PLK1, PLK, Serine/threonine-protein kinase PLK1, Polo-like kinase 1, PLK-1, Serine/threonine-protein kinase 13, STPK13
The Ser/Thr protein kinase encoded by this gene belongs to the CDC5/Polo subfamily. It is highly expressed during mitosis and elevated levels are found in many different types of cancer. Depletion of this protein in cancer cells dramatically inhibited cell proliferation and induced apoptosis, hence, it is a target for cancer therapy. [provided by RefSeq, Sep 2015],
Klonalität: Polyclonal
Konzentration: 1 mg/ml
Molekulargewicht: 68kD
NCBI: 5347
UniProt: P53350
Application Verdünnung: Western Blot: 1/500 - 1/2000. Immunohistochemistry: 1/100 - 1/300. Immunofluorescence: 1/200 - 1/1000. ELISA: 1/20000. Not yet tested in other applications.
Western Blot analysis of extracts from NIH-3T3 cells, using Plk1 Polyclonal Antibody. Secondary antibody(catalog:RS0002) was diluted at 1:20000
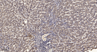
Immunohistochemical analysis of paraffin-embedded human liver cancer. 1, Antibody was diluted at 1:200(4 overnight). 2, Tris-EDTA,pH9.0 was used for antigen retrieval. 3,Secondary antibody was diluted at 1:200(room temperature, 45min).