A1BG rabbit pAb, Rabbit, Polyclonal
Artikelnummer:
EBT-ES3787
Produktübersicht
Artikelname:
A1BG rabbit pAb, Rabbit, Polyclonal
Artikelnummer:
EBT-ES3787
Hersteller Artikelnummer:
ES3787
Alternativnummer:
EBT-ES3787-50, EBT-ES3787-100
Hersteller:
ELK Biotechnology
Wirt:
Rabbit
Kategorie:
Antikörper
Applikation:
ELISA, IF, IHC, WB
Spezies Reaktivität:
Human, Mouse, Rat
Immunogen:
Synthesized peptide derived from A1BG . at AA range: 100-180
Alternative Synonym:
A1BG, Alpha-1B-glycoprotein, Alpha-1-B glycoprotein
Produktbeschreibung
The protein encoded by this gene is a plasma glycoprotein of unknown function. The protein shows sequence similarity to the variable regions of some immunoglobulin supergene family member proteins. [provided by RefSeq, Jul 2008],
Produkteigenschaften
Klonalität:
Polyclonal
Konzentration:
1 mg/ml
Molekulargewicht:
28kD
NCBI:
1
UniProt:
P04217
Anwendungsbeschreibung
Application Verdünnung:
Western Blot: 1/500 - 1/2000. IHC-p: 1:100-300 ELISA: 1/40000. Not yet tested in other applications.
Bilder
Western Blot analysis of extracts from K562 cells, using A1BG Polyclonal Antibody. Secondary antibody(catalog:RS0002) was diluted at 1:20000
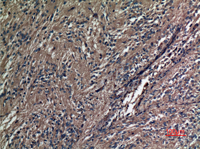
Immunohistochemical analysis of paraffin-embedded human-ovary, antibody was diluted at 1:100
Immunohistochemical analysis of paraffin-embedded human-ovary, antibody was diluted at 1:100
Immunohistochemical analysis of paraffin-embedded human-uterus, antibody was diluted at 1:100