TF rabbit pAb, Rabbit, Polyclonal

Artikelnummer: EBT-ES3924
Artikelname: TF rabbit pAb, Rabbit, Polyclonal
Artikelnummer: EBT-ES3924
Hersteller Artikelnummer: ES3924
Alternativnummer: EBT-ES3924-50, EBT-ES3924-100
Hersteller: ELK Biotechnology
Wirt: Rabbit
Kategorie: Antikörper
Applikation: ELISA, IF, IHC, WB
Spezies Reaktivität: Human, Mouse, Rat
Immunogen: The antiserum was produced against synthesized peptide derived from the Internal region of human F3. AA range:131-180
Alternative Synonym: F3, Tissue factor, TF, Coagulation factor III, Thromboplastin, CD142
This gene encodes coagulation factor III which is a cell surface glycoprotein. This factor enables cells to initiate the blood coagulation cascades, and it functions as the high-affinity receptor for the coagulation factor VII. The resulting complex provides a catalytic event that is responsible for initiation of the coagulation protease cascades by specific limited proteolysis. Unlike the other cofactors of these protease cascades, which circulate as nonfunctional precursors, this factor is a potent initiator that is fully functional when expressed on cell surfaces. There are 3 distinct domains of this factor: extracellular, transmembrane, and cytoplasmic. This protein is the only one in the coagulation pathway for which a congenital deficiency has not been described. Alternate splicing results in multiple transcript variants.[provided by RefSeq, May 2010],
Klonalität: Polyclonal
Konzentration: 1 mg/ml
Molekulargewicht: 33kD
NCBI: 2152
UniProt: P13726
Application Verdünnung: Western Blot: 1/500 - 1/2000. IHC-p: 1:100-300 ELISA: 1/20000. Not yet tested in other applications.
Western Blot analysis of BXPC-3, mouse eye, mouse lung cells using TF Polyclonal Antibody. Secondary antibody(catalog:RS0002) was diluted at 1:20000
Immunohistochemical analysis of paraffin-embedded human-prostate-cancer, antibody was diluted at 1:100
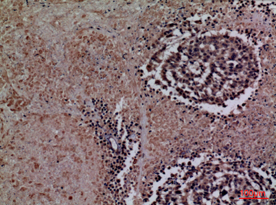
Immunohistochemical analysis of paraffin-embedded human-prostate-cancer, antibody was diluted at 1:100
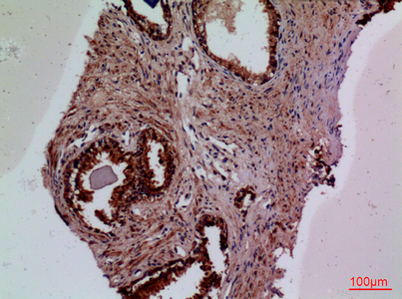
Immunohistochemical analysis of paraffin-embedded human-lung-cancer, antibody was diluted at 1:100