Calbindin D28K rabbit pAb, Rabbit, Polyclonal

Artikelnummer: EBT-ES3939
Artikelname: Calbindin D28K rabbit pAb, Rabbit, Polyclonal
Artikelnummer: EBT-ES3939
Hersteller Artikelnummer: ES3939
Alternativnummer: EBT-ES3939-50, EBT-ES3939-100
Hersteller: ELK Biotechnology
Wirt: Rabbit
Kategorie: Antikörper
Applikation: ELISA, IF, IHC, WB
Spezies Reaktivität: Human, Mouse, Rat
Immunogen: The antiserum was produced against synthesized peptide derived from the C-terminal region of human CALB1. AA range:191-240
Alternative Synonym: CALB1, CAB27, Calbindin, Calbindin D28, D-28K, Vitamin D-dependent calcium-binding protein, avian-type
The protein encoded by this gene is a member of the calcium-binding protein superfamily that includes calmodulin and troponin C. Originally described as a 27 kDa protein, it is now known to be a 28 kDa protein. It contains four active calcium-binding domains, and has two modified domains that are thought to have lost their calcium binding capability. This protein is thought to buffer entry of calcium upon stimulation of glutamate receptors. Depletion of this protein was noted in patients with Huntington disease. [provided by RefSeq, Jan 2015],
Klonalität: Polyclonal
Konzentration: 1 mg/ml
Molekulargewicht: 30kD
NCBI: 793
UniProt: P05937
Application Verdünnung: Western Blot: 1/500 - 1/2000. IHC-p: 1:100-300 ELISA: 1/20000. Not yet tested in other applications.
Western Blot analysis of K562 cells using Calbindin D28K Polyclonal Antibody. Antibody was diluted at 1:1000. Secondary antibody(catalog:RS0002) was diluted at 1:20000
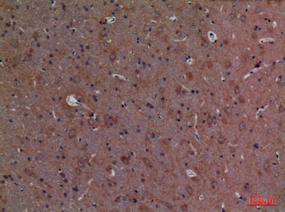
Immunohistochemical analysis of paraffin-embedded rat-brain, antibody was diluted at 1:100
Immunohistochemical analysis of paraffin-embedded rat-brain, antibody was diluted at 1:100