FOXP1 rabbit pAb, Rabbit, Polyclonal

Artikelnummer: EBT-ES3943
Artikelname: FOXP1 rabbit pAb, Rabbit, Polyclonal
Artikelnummer: EBT-ES3943
Hersteller Artikelnummer: ES3943
Alternativnummer: EBT-ES3943-50, EBT-ES3943-100
Hersteller: ELK Biotechnology
Wirt: Rabbit
Kategorie: Antikörper
Applikation: ELISA, IF, IHC, WB
Spezies Reaktivität: Human, Mouse, Rat
Immunogen: The antiserum was produced against synthesized peptide derived from the C-terminal region of human FOXP1. AA range:628-677
Alternative Synonym: FOXP1, HSPC215, Forkhead box protein P1
This gene belongs to subfamily P of the forkhead box (FOX) transcription factor family. Forkhead box transcription factors play important roles in the regulation of tissue- and cell type-specific gene transcription during both development and adulthood. Forkhead box P1 protein contains both DNA-binding- and protein-protein binding-domains. This gene may act as a tumor suppressor as it is lost in several tumor types and maps to a chromosomal region (3p14.1) reported to contain a tumor suppressor gene(s). Alternative splicing results in multiple transcript variants encoding different isoforms. [provided by RefSeq, Jul 2008],
Klonalität: Polyclonal
Konzentration: 1 mg/ml
Molekulargewicht: 75kD
NCBI: 27086
UniProt: Q9H334
Application Verdünnung: Western Blot: 1/500 - 1/2000. IHC-p: 1:100-300 ELISA: 1/20000. Not yet tested in other applications.
Western Blot analysis of K562 cells using FOXP1 Polyclonal Antibody. Antibody was diluted at 1:1000. Secondary antibody(catalog:RS0002) was diluted at 1:20000 cells nucleus extracted by Minute TM Cytoplasmic and Nuclear Fractionation kit (SC-003,Inventbiotech,MN,USA).
Western Blot analysis of customers using FOXP1 Antibody Polyclonal Antibody.
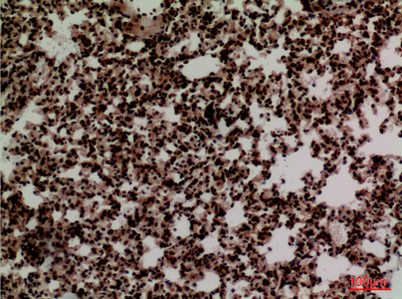
Immunohistochemical analysis of paraffin-embedded mouse-lung, antibody was diluted at 1:100
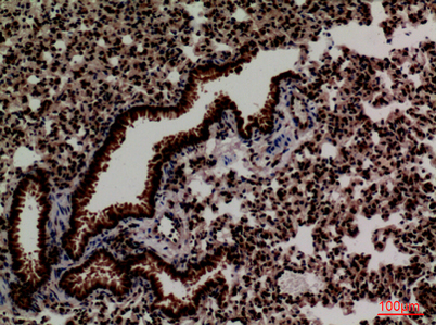
Immunohistochemical analysis of paraffin-embedded mouse-lung, antibody was diluted at 1:100