Neuregulin-2 rabbit pAb, Rabbit, Polyclonal

Artikelnummer: EBT-ES3945
Artikelname: Neuregulin-2 rabbit pAb, Rabbit, Polyclonal
Artikelnummer: EBT-ES3945
Hersteller Artikelnummer: ES3945
Alternativnummer: EBT-ES3945-50, EBT-ES3945-100
Hersteller: ELK Biotechnology
Wirt: Rabbit
Kategorie: Antikörper
Applikation: ELISA, IF, IHC, WB
Spezies Reaktivität: Human, Mouse, Rat
Immunogen: The antiserum was produced against synthesized peptide derived from the Internal region of human NRG2. AA range:361-410
Alternative Synonym: NRG2, NTAK, Pro-neuregulin-2, membrane-bound isoform, Pro-NRG2
This gene encodes a novel member of the neuregulin family of growth and differentiation factors. Through interaction with the ERBB family of receptors, this protein induces the growth and differentiation of epithelial, neuronal, glial, and other types of cells. The gene consists of 12 exons and the genomic structure is similar to that of neuregulin 1, another member of the neuregulin family of ligands. The products of these genes mediate distinct biological processes by acting at different sites in tissues and eliciting different biological responses in cells. This gene is located close to the region for demyelinating Charcot-Marie-Tooth disease locus, but is not responsible for this disease. Alternative transcript variants encoding distinct isoforms have been described. [provided by RefSeq, May 2010],
Klonalität: Polyclonal
Konzentration: 1 mg/ml
Molekulargewicht: 90kD
NCBI: 9542
UniProt: O14511
Application Verdünnung: Western Blot: 1/500 - 1/2000. IHC-p: 1:100-300 ELISA: 1/20000. Not yet tested in other applications.
Western Blot analysis of HT29 cells using Neuregulin-2 Polyclonal Antibody. Secondary antibody(catalog:RS0002) was diluted at 1:20000
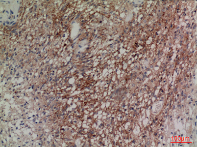
Immunohistochemical analysis of paraffin-embedded human-brain, antibody was diluted at 1:100
Western blot analysis of lysate from HT29 cells, using NRG2 Antibody.