Keap-1 rabbit pAb, Rabbit, Polyclonal

Artikelnummer: EBT-ES3948
Artikelname: Keap-1 rabbit pAb, Rabbit, Polyclonal
Artikelnummer: EBT-ES3948
Hersteller Artikelnummer: ES3948
Alternativnummer: EBT-ES3948-50, EBT-ES3948-100
Hersteller: ELK Biotechnology
Wirt: Rabbit
Kategorie: Antikörper
Applikation: ELISA, IF, IHC, WB
Spezies Reaktivität: Human, Mouse, Rat
Immunogen: The antiserum was produced against synthesized peptide derived from the Internal region of human KEAP1. AA range:411-460
Alternative Synonym: KEAP1, INRF2, KIAA0132, KLHL19, Kelch-like ECH-associated protein 1, Cytosolic inhibitor of Nrf2, INrf2, Kelch-like protein 19
This gene encodes a protein containing KELCH-1 like domains, as well as a BTB/POZ domain. Kelch-like ECH-associated protein 1 interacts with NF-E2-related factor 2 in a redox-sensitive manner and the dissociation of the proteins in the cytoplasm is followed by transportation of NF-E2-related factor 2 to the nucleus. This interaction results in the expression of the catalytic subunit of gamma-glutamylcysteine synthetase. Two alternatively spliced transcript variants encoding the same isoform have been found for this gene. [provided by RefSeq, Jul 2008],
Klonalität: Polyclonal
Konzentration: 1 mg/ml
Molekulargewicht: 70kD
NCBI: 9817
UniProt: Q14145
Application Verdünnung: Western Blot: 1/500 - 1/2000. IHC-p: 1:100-300 ELISA: 1/20000. Not yet tested in other applications.
Western Blot analysis of K562 cells using Keap1 Polyclonal Antibody. Antibody was diluted at 1:1000. Secondary antibody(catalog:RS0002) was diluted at 1:20000
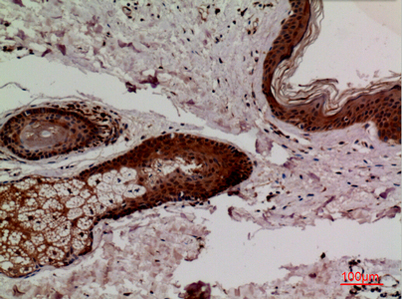
Immunohistochemical analysis of paraffin-embedded human-skin, antibody was diluted at 1:100
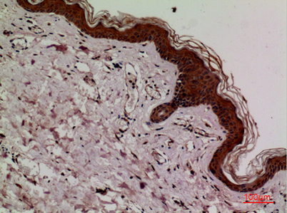
Immunohistochemical analysis of paraffin-embedded human-skin, antibody was diluted at 1:100
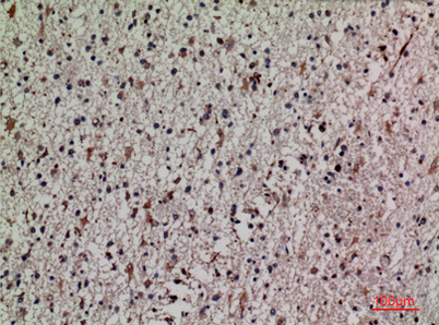
Immunohistochemical analysis of paraffin-embedded human-brain, antibody was diluted at 1:100