Lipocalin-1 rabbit pAb, Rabbit, Polyclonal

Artikelnummer: EBT-ES3949
Artikelname: Lipocalin-1 rabbit pAb, Rabbit, Polyclonal
Artikelnummer: EBT-ES3949
Hersteller Artikelnummer: ES3949
Alternativnummer: EBT-ES3949-50, EBT-ES3949-100
Hersteller: ELK Biotechnology
Wirt: Rabbit
Kategorie: Antikörper
Applikation: ELISA, IF, IHC, WB
Spezies Reaktivität: Human, Mouse, Rat
Immunogen: The antiserum was produced against synthesized peptide derived from the Internal region of human LCN1. AA range:11-60
Alternative Synonym: LCN1, VEGP, Lipocalin-1, Tear lipocalin, Tlc, Tear prealbumin, TP, Von Ebner gland protein, VEG protein
This gene encodes a member of the lipocalin family of small secretory proteins. Lipocalins are extracellular transport proteins that bind to a variety of hydrophobic ligands. The encoded protein is the primary lipid binding protein in tears and is overproduced in response to multiple stimuli including infection and stress. The encoded protein may be a marker for chromosome aneuploidy as well as an autoantigen in Sjogrens syndrome. Alternatively spliced transcript variants encoding multiple isoforms have been observed for this gene, and two pseudogenes of this gene are also located on the long arm of chromosome 9. [provided by RefSeq, Nov 2011],
Klonalität: Polyclonal
Konzentration: 1 mg/ml
Molekulargewicht: 21kD
NCBI: 3933
UniProt: P31025
Application Verdünnung: Western Blot: 1/500 - 1/2000. IHC-p: 1:100-300 ELISA: 1/20000. Not yet tested in other applications.
Western Blot analysis of K562 cells using Lipocalin-1 Polyclonal Antibody. Secondary antibody(catalog:RS0002) was diluted at 1:20000
Immunohistochemical analysis of paraffin-embedded human-colon-cancer, antibody was diluted at 1:100
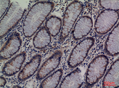
Immunohistochemical analysis of paraffin-embedded human-colon-cancer, antibody was diluted at 1:100
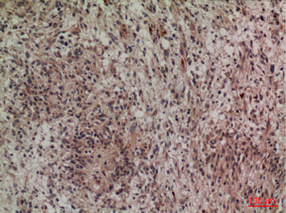
Immunohistochemical analysis of paraffin-embedded human-brain, antibody was diluted at 1:100