Protein C rabbit pAb, Rabbit, Polyclonal

Artikelnummer: EBT-ES3951
Artikelname: Protein C rabbit pAb, Rabbit, Polyclonal
Artikelnummer: EBT-ES3951
Hersteller Artikelnummer: ES3951
Alternativnummer: EBT-ES3951-50, EBT-ES3951-100
Hersteller: ELK Biotechnology
Wirt: Rabbit
Kategorie: Antikörper
Applikation: ELISA, IF, IHC, WB
Spezies Reaktivität: Human, Mouse, Rat
Immunogen: The antiserum was produced against synthesized peptide derived from the Internal region of human PROC. AA range:181-230
Alternative Synonym: PROC, Vitamin K-dependent protein C, Anticoagulant protein C, Autoprothrombin IIA, Blood coagulation factor XIV
This gene encodes a vitamin K-dependent plasma glycoprotein. The encoded protein is cleaved to its activated form by the thrombin-thrombomodulin complex. This activated form contains a serine protease domain and functions in degradation of the activated forms of coagulation factors V and VIII. Mutations in this gene have been associated with thrombophilia due to protein C deficiency, neonatal purpura fulminans, and recurrent venous thrombosis.[provided by RefSeq, Dec 2009],
Klonalität: Polyclonal
Konzentration: 1 mg/ml
Molekulargewicht: 52kD
NCBI: 5624
UniProt: P04070
Application Verdünnung: Western Blot: 1/500 - 1/2000. IHC-p: 1:100-300 ELISA: 1/20000. Not yet tested in other applications.
Western Blot analysis of K562 cells using Protein C Polyclonal Antibody. Secondary antibody(catalog:RS0002) was diluted at 1:20000
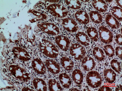
Immunohistochemical analysis of paraffin-embedded human-colon, antibody was diluted at 1:100
Immunohistochemical analysis of paraffin-embedded human-colon, antibody was diluted at 1:100
Western blot analysis of lysate from K562 cells, using PROC Antibody.