Layilin rabbit pAb, Rabbit, Polyclonal

Artikelnummer: EBT-ES3952
Artikelname: Layilin rabbit pAb, Rabbit, Polyclonal
Artikelnummer: EBT-ES3952
Hersteller Artikelnummer: ES3952
Alternativnummer: EBT-ES3952-50, EBT-ES3952-100
Hersteller: ELK Biotechnology
Wirt: Rabbit
Kategorie: Antikörper
Applikation: ELISA, IF, IHC, WB
Spezies Reaktivität: Human, Mouse, Rat
Immunogen: The antiserum was produced against synthesized peptide derived from the Internal region of human LAYN. AA range:71-120
Alternative Synonym: LAYN, Layilin
domain:The C-terminal domain interacts with the N-terminal domain of RDX.,function:Receptor for hyaluronate.,similarity:Contains 1 C-type lectin domain.,subcellular location:Colocalizes with TLN1 at the membrane ruffles.,subunit:Interacts with NF2, RDX and TLN1.,
Klonalität: Polyclonal
Konzentration: 1 mg/ml
Molekulargewicht: 43kD
NCBI: 143903
UniProt: Q6UX15
Application Verdünnung: Western Blot: 1/500 - 1/2000. IHC-p: 1:100-300 ELISA: 1/20000. Not yet tested in other applications.
Western Blot analysis of HuvEc, K562 cells using Layilin Polyclonal Antibody. Secondary antibody(catalog:RS0002) was diluted at 1:20000
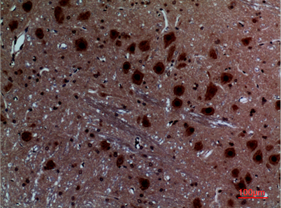
Immunohistochemical analysis of paraffin-embedded rat-brain, antibody was diluted at 1:100
Immunohistochemical analysis of paraffin-embedded rat-brain, antibody was diluted at 1:100
Immunohistochemical analysis of paraffin-embedded rat-brain, antibody was diluted at 1:100