HDC rabbit pAb, Rabbit, Polyclonal

Artikelnummer: EBT-ES3955
Artikelname: HDC rabbit pAb, Rabbit, Polyclonal
Artikelnummer: EBT-ES3955
Hersteller Artikelnummer: ES3955
Alternativnummer: EBT-ES3955-50, EBT-ES3955-100
Hersteller: ELK Biotechnology
Wirt: Rabbit
Kategorie: Antikörper
Applikation: ELISA, IF, IHC, WB
Spezies Reaktivität: Human, Mouse, Rat
Immunogen: The antiserum was produced against synthesized peptide derived from the Internal region of human HDC. AA range:201-250
Alternative Synonym: HDC, Histidine decarboxylase, HDC
This gene encodes a member of the group II decarboxylase family and forms a homodimer that converts L-histidine to histamine in a pyridoxal phosphate dependent manner. Histamine regulates several physiologic processes, including neurotransmission, gastric acid secretion,inflamation, and smooth muscle tone.[provided by RefSeq, Aug 2010],
Klonalität: Polyclonal
Konzentration: 1 mg/ml
Molekulargewicht: 72kD
NCBI: 3067
UniProt: P19113
Application Verdünnung: Western Blot: 1/500 - 1/2000. IHC-p: 1:100-300 ELISA: 1/20000. Not yet tested in other applications.
Western Blot analysis of K562 cells using HDC Polyclonal Antibody. Secondary antibody(catalog:RS0002) was diluted at 1:20000
Immunohistochemical analysis of paraffin-embedded human-brain, antibody was diluted at 1:100
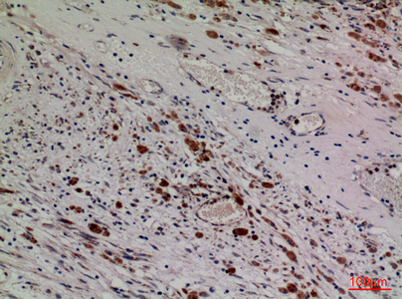
Immunohistochemical analysis of paraffin-embedded human-brain, antibody was diluted at 1:100
Immunohistochemical analysis of paraffin-embedded human-brain, antibody was diluted at 1:100