DPYD rabbit pAb, Rabbit, Polyclonal

Artikelnummer: EBT-ES3957
Artikelname: DPYD rabbit pAb, Rabbit, Polyclonal
Artikelnummer: EBT-ES3957
Hersteller Artikelnummer: ES3957
Alternativnummer: EBT-ES3957-50, EBT-ES3957-100
Hersteller: ELK Biotechnology
Wirt: Rabbit
Kategorie: Antikörper
Applikation: ELISA, IF, IHC, WB
Spezies Reaktivität: Human, Mouse, Rat
Immunogen: The antiserum was produced against synthesized peptide derived from the Internal region of human DPYD. AA range:351-400
Alternative Synonym: DPYD, Dihydropyrimidine dehydrogenase [NADP(+)], DHPDHase, DPD, Dihydrothymine dehydrogenase, Dihydrouracil dehydrogenase
The protein encoded by this gene is a pyrimidine catabolic enzyme and the initial and rate-limiting factor in the pathway of uracil and thymidine catabolism. Mutations in this gene result in dihydropyrimidine dehydrogenase deficiency, an error in pyrimidine metabolism associated with thymine-uraciluria and an increased risk of toxicity in cancer patients receiving 5-fluorouracil chemotherapy. Two transcript variants encoding different isoforms have been found for this gene. [provided by RefSeq, May 2009],
Klonalität: Polyclonal
Konzentration: 1 mg/ml
Molekulargewicht: 120kD
NCBI: 1806
UniProt: Q12882
Application Verdünnung: Western Blot: 1/500 - 1/2000. IHC-p: 1:100-300 ELISA: 1/20000. Not yet tested in other applications.
Western Blot analysis of HepG2 cells using DPYD Polyclonal Antibody. Secondary antibody(catalog:RS0002) was diluted at 1:20000
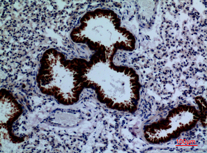
Immunohistochemical analysis of paraffin-embedded mouse-lung, antibody was diluted at 1:100
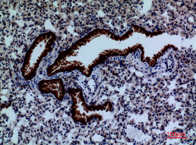
Immunohistochemical analysis of paraffin-embedded mouse-lung, antibody was diluted at 1:100
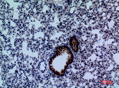
Immunohistochemical analysis of paraffin-embedded mouse-lung, antibody was diluted at 1:100