IRF-1 rabbit pAb, Rabbit, Polyclonal

Artikelnummer: EBT-ES4382
Artikelname: IRF-1 rabbit pAb, Rabbit, Polyclonal
Artikelnummer: EBT-ES4382
Hersteller Artikelnummer: ES4382
Alternativnummer: EBT-ES4382-50, EBT-ES4382-100
Hersteller: ELK Biotechnology
Wirt: Rabbit
Kategorie: Antikörper
Applikation: ELISA, IHC, WB
Spezies Reaktivität: Human, Mouse, Rat
Immunogen: The antiserum was produced against synthesized peptide derived from the Internal region of human IRF1. AA range:91-140
Alternative Synonym: IRF1, Interferon regulatory factor 1, IRF-1
IRF1 encodes interferon regulatory factor 1, a member of the interferon regulatory transcription factor (IRF) family. IRF1 serves as an activator of interferons alpha and beta transcription, and in mouse it has been shown to be required for double-stranded RNA induction of these genes. IRF1 also functions as a transcription activator of genes induced by interferons alpha, beta, and gamma. Further, IRF1 has been shown to play roles in regulating apoptosis and tumor-suppressoion. [provided by RefSeq, Jul 2008],
Klonalität: Polyclonal
Konzentration: 1 mg/ml
Molekulargewicht: 36kD
NCBI: 3659
UniProt: P10914
Application Verdünnung: WB 1:500-2000,IHC-p 1:50-300, ELISA 2000-20000
Western Blot analysis of PC12 cells using IRF-1 Polyclonal Antibody. Secondary antibody(catalog:RS0002) was diluted at 1:20000 cells nucleus extracted by Minute TM Cytoplasmic and Nuclear Fractionation kit (SC-003,Inventbiotech,MN,USA).
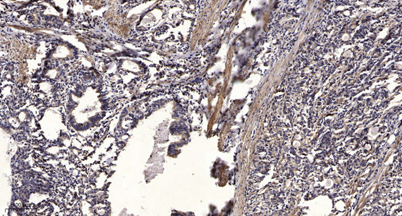
Immunohistochemical analysis of paraffin-embedded human Gastric adenocarcinoma. 1, Antibody was diluted at 1:200(4 overnight). 2, Tris-EDTA,pH9.0 was used for antigen retrieval. 3,Secondary antibody was diluted at 1:200(room temperature, 45min).