Tie-2 (phospho Tyr992) rabbit pAb, Rabbit, Polyclonal

Artikelnummer: EBT-ES4386
Artikelname: Tie-2 (phospho Tyr992) rabbit pAb, Rabbit, Polyclonal
Artikelnummer: EBT-ES4386
Hersteller Artikelnummer: ES4386
Alternativnummer: EBT-ES4386-50, EBT-ES4386-100
Hersteller: ELK Biotechnology
Wirt: Rabbit
Kategorie: Antikörper
Applikation: ELISA, IHC, WB
Spezies Reaktivität: Human, Mouse
Immunogen: Synthesized phospho-peptide around the phosphorylation site of human Tie-2 (phospho Tyr992)
Alternative Synonym: TEK, TIE2, VMCM, VMCM1, Angiopoietin-1 receptor, Endothelial tyrosine kinase, Tunica interna endothelial cell kinase, Tyrosine kinase with Ig and EGF homology domains-2, Tyrosine-protein kinase receptor TEK, Tyrosine-protein kinase receptor
This gene encodes a receptor that belongs to the protein tyrosine kinase Tie2 family. The encoded protein possesses a unique extracellular region that contains two immunoglobulin-like domains, three epidermal growth factor (EGF)-like domains and three fibronectin type III repeats. The ligand angiopoietin-1 binds to this receptor and mediates a signaling pathway that functions in embryonic vascular development. Mutations in this gene are associated with inherited venous malformations of the skin and mucous membranes. Alternative splicing results in multiple transcript variants. Additional alternatively spliced transcript variants of this gene have been described, but their full-length nature is not known. [provided by RefSeq, Feb 2014],
Klonalität: Polyclonal
Konzentration: 1 mg/ml
Molekulargewicht: 125kD
NCBI: 7010
UniProt: Q02763
Application Verdünnung: WB 1:500-2000,IHC-p 1:50-300, ELISA 2000-20000
Western Blot analysis of VEC cells using Phospho-Tie-2 (Y992) Polyclonal Antibody
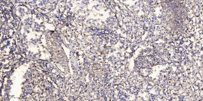
Immunohistochemical analysis of paraffin-embedded human Squamous cell carcinoma of lung. 1, Antibody was diluted at 1:200(4 overnight). 2, Tris-EDTA,pH9.0 was used for antigen retrieval. 3,Secondary antibody was diluted at 1:200(room temperature, 45min).
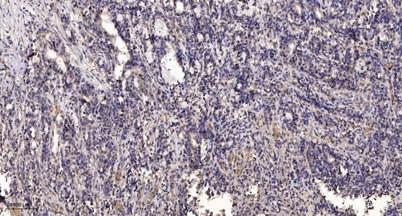
Immunohistochemical analysis of paraffin-embedded human Gastric adenocarcinoma. 1, Antibody was diluted at 1:200(4 overnight). 2, Tris-EDTA,pH9.0 was used for antigen retrieval. 3,Secondary antibody was diluted at 1:200(room temperature, 45min).
Western Blot analysis of mouse lung , mouse liver ,using primary antibody at 1:1000 dilution. Secondary antibody(catalog:RS23920) was diluted at 1:10000