SFRS14 rabbit pAb, Rabbit, Polyclonal

Artikelnummer: EBT-ES4429
Artikelname: SFRS14 rabbit pAb, Rabbit, Polyclonal
Artikelnummer: EBT-ES4429
Hersteller Artikelnummer: ES4429
Alternativnummer: EBT-ES4429-50, EBT-ES4429-100
Hersteller: ELK Biotechnology
Wirt: Rabbit
Kategorie: Antikörper
Applikation: ELISA, IHC, WB
Spezies Reaktivität: Human, Mouse, Rat
Immunogen: Synthesized peptide derived from SFRS14 . at AA range: 260-340
Alternative Synonym: SUGP2, KIAA0365, SFRS14, SURP and G-patch domain-containing protein 2, Arginine/serine-rich-splicing factor 14, Splicing factor, arginine/serine-rich 14
This gene encodes a member of the arginine/serine-rich family of splicing factors. The encoded protein functions in mRNA processing. Alternatively spliced transcript variants have been described. [provided by RefSeq, Feb 2009],
Klonalität: Polyclonal
Konzentration: 1 mg/ml
Molekulargewicht: 120kD
NCBI: 10147
UniProt: Q8IX01
Application Verdünnung: WB 1:500-2000,IHC-p 1:50-300, ELISA 2000-20000
Western Blot analysis of A549 cells using SFRS14 Polyclonal Antibody cells nucleus extracted by Minute TM Cytoplasmic and Nuclear Fractionation kit (SC-003,Inventbiotech,MN,USA).
Western blot analysis of SFRS14 Antibody. The lane on the right is blocked with the SFRS14 peptide.
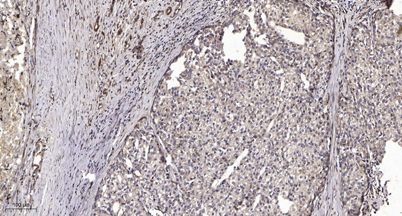
Immunohistochemical analysis of paraffin-embedded human liver cancer. 1, Antibody was diluted at 1:200(4 overnight). 2, Tris-EDTA,pH9.0 was used for antigen retrieval. 3,Secondary antibody was diluted at 1:200(room temperature, 45min).