WAVE2 rabbit pAb, Rabbit, Polyclonal

Artikelnummer: EBT-ES4431
Artikelname: WAVE2 rabbit pAb, Rabbit, Polyclonal
Artikelnummer: EBT-ES4431
Hersteller Artikelnummer: ES4431
Alternativnummer: EBT-ES4431-50, EBT-ES4431-100
Hersteller: ELK Biotechnology
Wirt: Rabbit
Kategorie: Antikörper
Applikation: ELISA, IF, IHC, WB
Spezies Reaktivität: Human, Mouse, Rat
Immunogen: The antiserum was produced against synthesized peptide derived from human WASF2. AA range:141-190
Alternative Synonym: WASF2, WAVE2, Wiskott-Aldrich syndrome protein family member 2, WASP family protein member 2, Protein WAVE-2, Verprolin homology domain-containing protein 2
This gene encodes a member of the Wiskott-Aldrich syndrome protein family. The gene product is a protein that forms a multiprotein complex that links receptor kinases and actin. Binding to actin occurs through a C-terminal verprolin homology domain in all family members. The multiprotein complex serves to tranduce signals that involve changes in cell shape, motility or function. The published map location (PMID:10381382) has been changed based on recent genomic sequence comparisons, which indicate that the expressed gene is located on chromosome 1, and a pseudogene may be located on chromosome X. Two transcript variants encoding different isoforms have been found for this gene. [provided by RefSeq, Jan 2011],
Klonalität: Polyclonal
Konzentration: 1 mg/ml
Molekulargewicht: 55kD
NCBI: 10163
UniProt: Q9Y6W5
Application Verdünnung: Western Blot: 1/500 - 1/2000. Immunohistochemistry: 1/100 - 1/300. ELISA: 1/5000. Not yet tested in other applications.
Western Blot analysis of 293 cells using WAVE2 Polyclonal Antibody. Secondary antibody(catalog:RS0002) was diluted at 1:20000
Western blot analysis of WASF2 Antibody. The lane on the right is blocked with the WASF2 peptide.
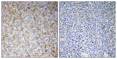
Immunohistochemistryt analysis of paraffin-embedded human pancreas, using WASF2 Antibody. The lane on the right is blocked with the WASF2 peptide.
Western blot analysis of the lysates from K562 cells using WASF2 antibody.