RCL1 rabbit pAb, Rabbit, Polyclonal

Artikelnummer: EBT-ES4432
Artikelname: RCL1 rabbit pAb, Rabbit, Polyclonal
Artikelnummer: EBT-ES4432
Hersteller Artikelnummer: ES4432
Alternativnummer: EBT-ES4432-50, EBT-ES4432-100
Hersteller: ELK Biotechnology
Wirt: Rabbit
Kategorie: Antikörper
Applikation: IHC, WB
Spezies Reaktivität: Human, Mouse, Rat
Immunogen: The antiserum was produced against synthesized peptide derived from human RCL1. AA range:324-373
Alternative Synonym: RCL1, RNAC, RPC2, RPCL1, RTC2, HSPC338, RNA 3-terminal phosphate cyclase-like protein
function:Does not have cyclase activity. Plays a role in 40S-ribosomal-subunit biogenesis in the early pre-rRNA processing steps at sites A0, A1 and A2 that are required for proper maturation of the 18S RNA.,similarity:Belongs to the RNA 3-terminal cyclase family. Type 2 subfamily.,
Klonalität: Polyclonal
Konzentration: 1 mg/ml
Molekulargewicht: 41kD
NCBI: 10171
UniProt: Q9Y2P8
Application Verdünnung: WB 1:500-2000,IHC-p 1:50-300
Western Blot analysis of HUVEC cells using RCL1 Polyclonal Antibody cells nucleus extracted by Minute TM Cytoplasmic and Nuclear Fractionation kit (SC-003,Inventbiotech,MN,USA).
Western blot analysis of lysates from HUVEC cells, using RCL1 Antibody. The lane on the right is blocked with the synthesized peptide.
Western blot analysis of the lysates from HepG2 cells using RCL1 antibody.
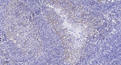
Immunohistochemical analysis of paraffin-embedded human tonsil. 1, Antibody was diluted at 1:200(4 overnight). 2, Tris-EDTA,pH9.0 was used for antigen retrieval. 3,Secondary antibody was diluted at 1:200(room temperature, 45min).