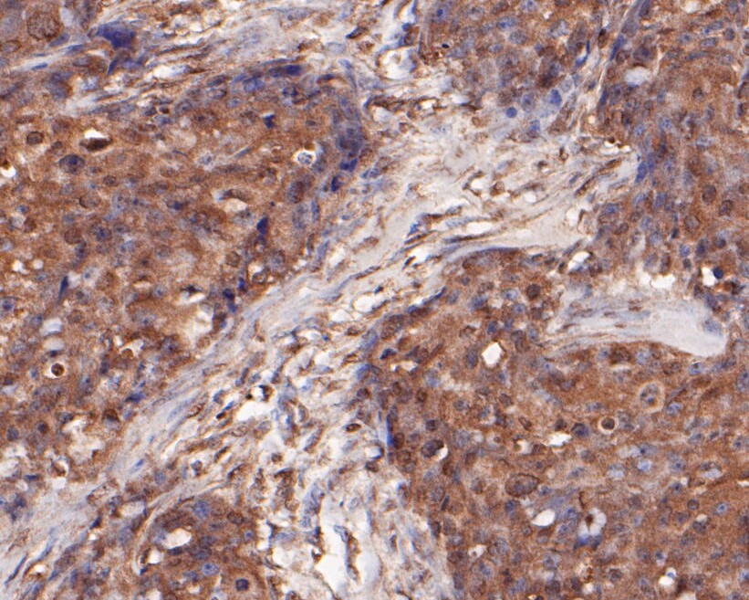
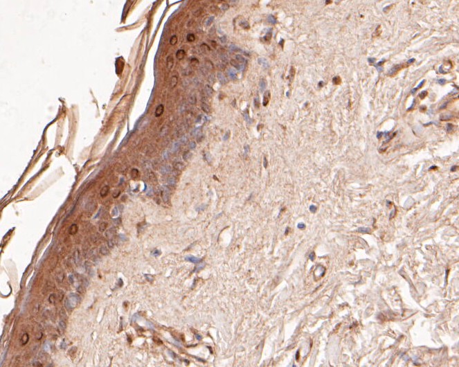
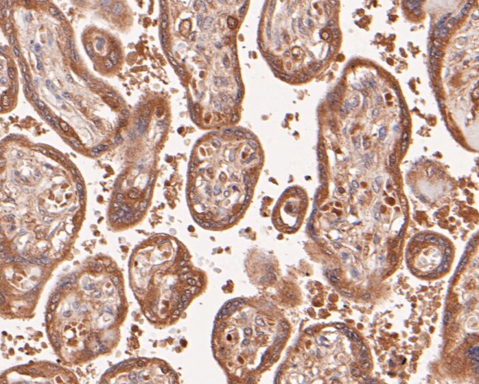
DFNA5 / GSDME Mouse Monoclonal Antibody [A1H3], IgG1, Unconjugated
Artikelnummer:
HBO-EM1901-48
Produktübersicht
Artikelname:
DFNA5 / GSDME Mouse Monoclonal Antibody [A1H3], IgG1, Unconjugated
Artikelnummer:
HBO-EM1901-48
Hersteller Artikelnummer:
EM1901-48
Alternativnummer:
HBO-EM1901-48
Hersteller:
HUABIO
Wirt:
Mouse
Kategorie:
Antikörper
Applikation:
FC, IF, IHC-P, WB
Spezies Reaktivität:
Human
Immunogen:
Recombinant protein within Human DFNA5 aa 34-214 / 496.
Konjugation:
Unconjugated
Alternative Synonym:
2310037D07Rik antibody 4932441K13Rik antibody Deafness, autosomal dominant 5 antibody Deafness, autosomal dominant 5 protein antibody DFNA5 antibody DFNA5 gene antibody DFNA5_HUMAN antibody Dfna5h antibody EG14210 antibody Fin15 antibody ICERE 1 antibody
Produktbeschreibung
Non-syndromic hearing impairment protein 5 is a protein that in humans is encoded by the DFNA5 gene. Hearing impairment is a heterogeneous condition with over 40 loci described. The protein encoded by this gene is expressed in fetal cochlea, however, its
Produkteigenschaften
Klonalität:
Monoclonal
Konzentration:
2 mg/mL.
Klon-Bezeichnung:
[A1H3]
Molekulargewicht:
Predicted band size: 55 kDa
Isotyp:
IgG1
UniProt:
O60443
Puffer:
1*PBS (pH7.4), 0.2% BSA, 50% Glycerol. Preservative: 0.05% Sodium Azide.
Reinheit:
Protein G affinity purified.
Formulierung:
Liquid
Target-Kategorie:
GSDME
Antibody Type:
Primary Antibody
Anwendungsbeschreibung
Application Verdünnung:
WB:1:500-1:2,000 ,IF-Cell:1:50-1:100 ,IHC-P:1:50-1:200 ,FC:1:50-1:100