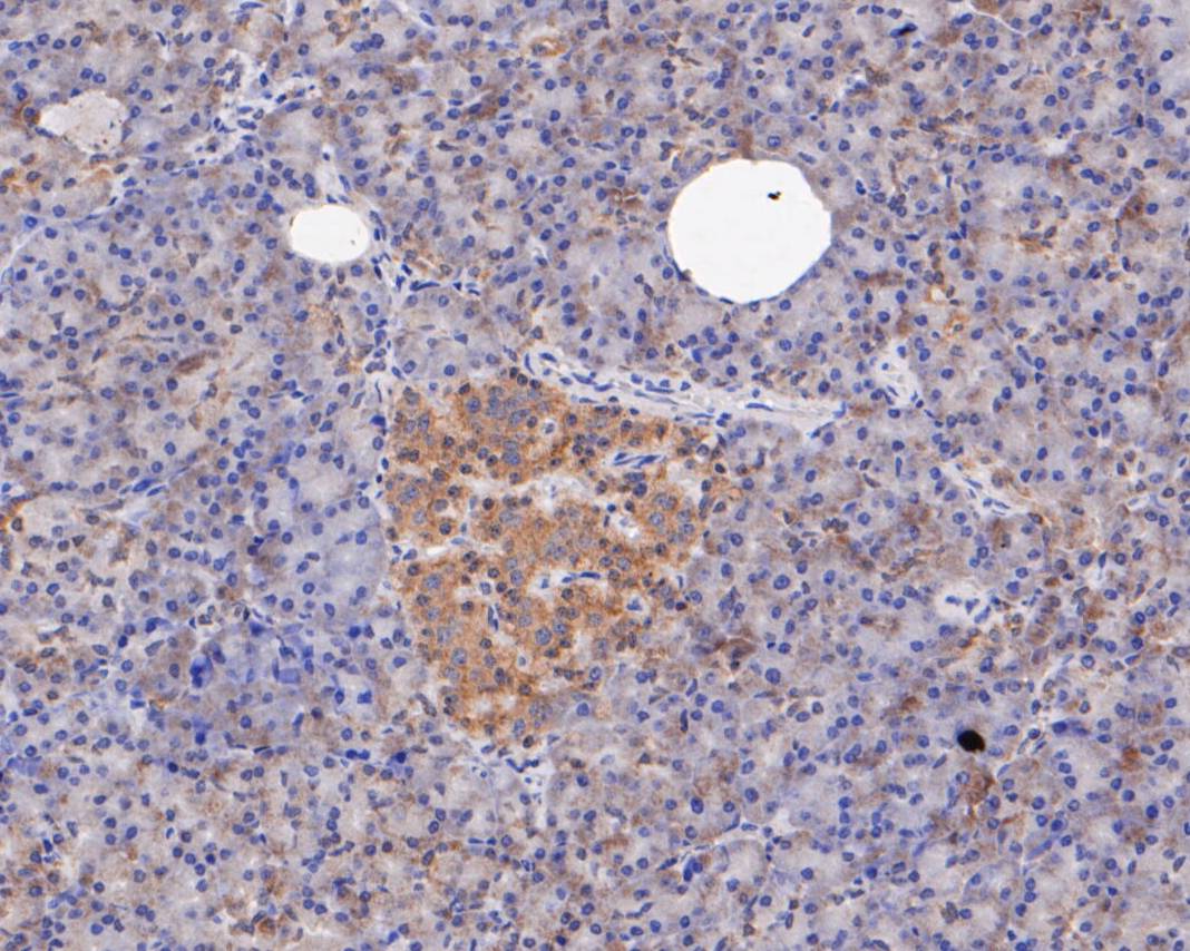
ERK2 Mouse Monoclonal Antibody [C3B12], IgG1, Unconjugated
Artikelnummer:
HBO-EM1901-55
Produktübersicht
Artikelname:
ERK2 Mouse Monoclonal Antibody [C3B12], IgG1, Unconjugated
Artikelnummer:
HBO-EM1901-55
Hersteller Artikelnummer:
EM1901-55
Alternativnummer:
HBO-EM1901-55
Hersteller:
HUABIO
Wirt:
Mouse
Kategorie:
Antikörper
Applikation:
FC, IHC-P, WB
Spezies Reaktivität:
Human, Mouse, Rat
Immunogen:
Recombinant protein within human ERK2 aa 200-360.
Konjugation:
Unconjugated
Alternative Synonym:
ERK 2 antibody ERK-2 antibody ERT1 antibody Extracellular Signal Regulated Kinase 2 antibody Extracellular signal-regulated kinase 2 antibody MAP kinase 1 antibody MAP kinase 2 antibody MAP kinase isoform p42 antibody MAPK 1 antibody MAPK 2 antibody Mapk
Produktbeschreibung
Mitogen-activated protein kinase (MAPK) signaling pathways involve two closely related MAP kinases, known as extracellular-signal-related kinase 1 (ERK 1, p44) and 2 (ERK 2, p42). Growth factors, steroid hormones, G protein-coupled receptor ligands, and
Produkteigenschaften
Klonalität:
Monoclonal
Konzentration:
2 mg/mL.
Klon-Bezeichnung:
[C3B12]
Molekulargewicht:
Predicted band size: 41 kDa
Isotyp:
IgG1
UniProt:
P28482
Puffer:
1*PBS (pH7.4), 0.2% BSA, 50% Glycerol. Preservative: 0.05% Sodium Azide.
Reinheit:
Protein G affinity purified.
Formulierung:
Liquid
Target-Kategorie:
MAPK1, ERK2, PRKM1, PRKM2
Antibody Type:
Primary Antibody
Anwendungsbeschreibung
Application Verdünnung:
WB: 1:3,000 ,IHC-P: 1:50-1:200 ,FC: 1:50-1:100