Caveolin-1 Mouse Monoclonal Antibody [A3E7], IgG1, Unconjugated
Artikelnummer:
HBO-EM1901-87
Produktübersicht
Artikelname:
Caveolin-1 Mouse Monoclonal Antibody [A3E7], IgG1, Unconjugated
Artikelnummer:
HBO-EM1901-87
Hersteller Artikelnummer:
EM1901-87
Alternativnummer:
HBO-EM1901-87
Hersteller:
HUABIO
Wirt:
Mouse
Kategorie:
Antikörper
Applikation:
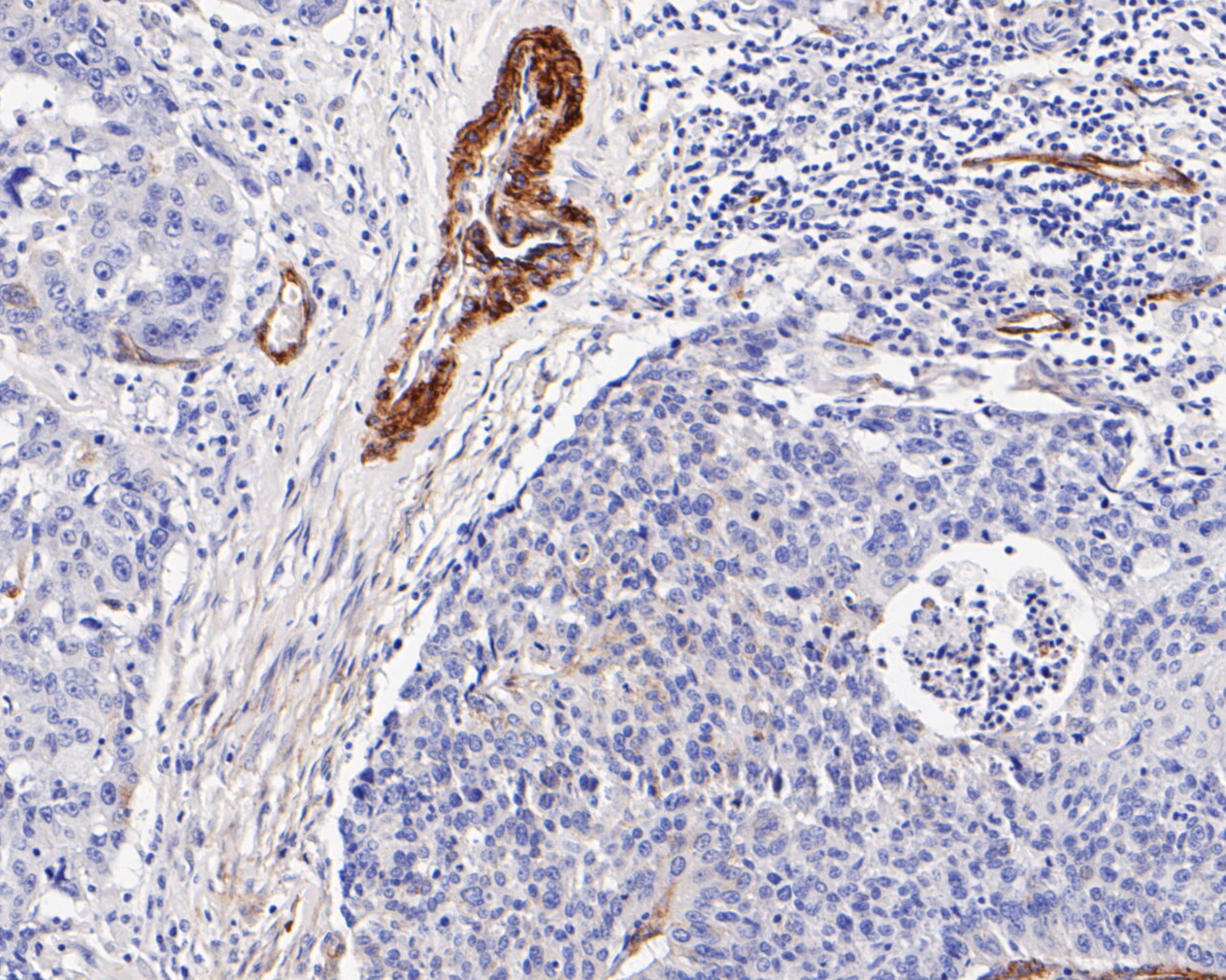
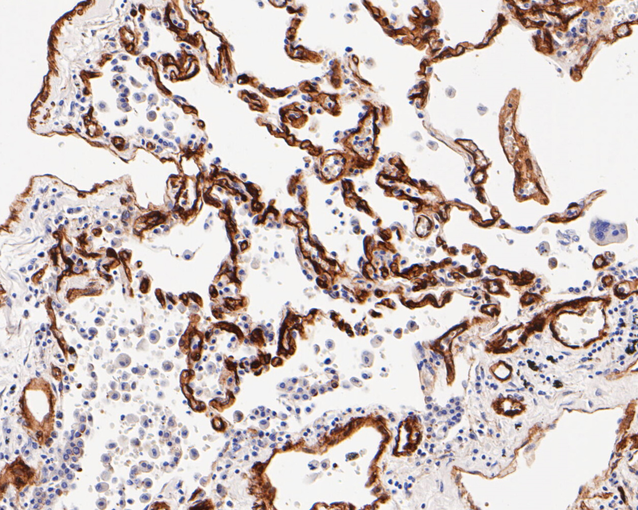
FC, IF, IHC-P, WB
Spezies Reaktivität:
Human
Immunogen:
Recombinant protein within human Caveolin-1 aa 1-150.
Konjugation:
Unconjugated
Alternative Synonym:
BSCL3 antibody CAV antibody CAV1 antibody CAV1_HUMAN antibody caveolae protein, 22 kD antibody caveolin 1 alpha isoform antibody caveolin 1 beta isoform antibody Caveolin 1 caveolae protein 22kDa antibody Caveolin-1 antibody Caveolin1 antibody cell growt
Produktbeschreibung
Caveolin-1 is a protein that in humans is encoded by the CAV1 gene. The scaffolding protein encoded by this gene is the main component of the caveolae plasma membranes found in most cell types. The protein links integrin subunits to the tyrosine kinase F
Produkteigenschaften
Klonalität:
Monoclonal
Konzentration:
2 mg/mL.
Klon-Bezeichnung:
[A3E7]
Molekulargewicht:
20 kDa
Isotyp:
IgG1
UniProt:
Q03135
Puffer:
1*PBS (pH7.4), 0.2% BSA, 50% Glycerol. Preservative: 0.05% Sodium Azide.
Reinheit:
Protein G affinity purified.
Formulierung:
Liquid
Target-Kategorie:
CAV1
Antibody Type:
Primary Antibody
Anwendungsbeschreibung
Application Verdünnung:
WB:1:500-1:2,000,IF-Cell:1:50-1:100,IHC-P:1:500-1:1,000,FC:1:50-1:100