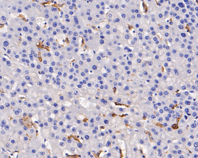
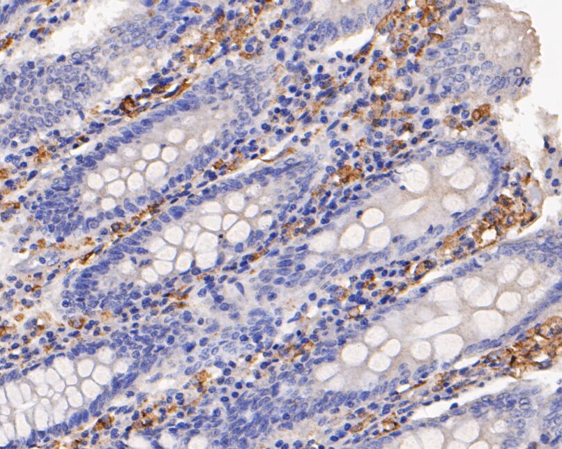
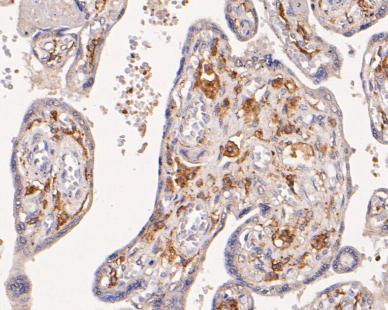
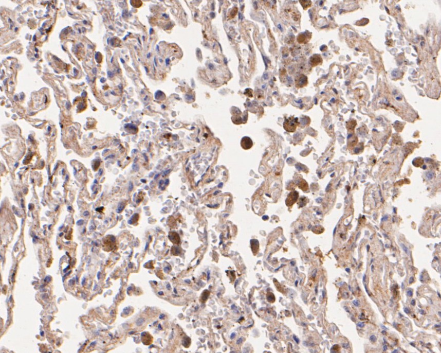
CD163 Mouse Monoclonal Antibody [A3B3], IgG1, Unconjugated
Artikelnummer:
HBO-EM1901-90
Produktübersicht
Artikelname:
CD163 Mouse Monoclonal Antibody [A3B3], IgG1, Unconjugated
Artikelnummer:
HBO-EM1901-90
Hersteller Artikelnummer:
EM1901-90
Alternativnummer:
HBO-EM1901-90
Hersteller:
HUABIO
Wirt:
Mouse
Kategorie:
Antikörper
Applikation:
FC, IHC-P, WB
Spezies Reaktivität:
Human
Immunogen:
Recombinant protein within human CD163 aa 1-170.
Konjugation:
Unconjugated
Alternative Synonym:
C163A_HUMAN antibody CD 163 antibody CD163 antibody CD163 antigen antibody CD163 molecule antibody Hemoglobin scavenger receptor antibody M130 antibody M130 antigen precursor antibody Macrophage associated antigen antibody MM130 antibody OTTHUMP000002386
Produktbeschreibung
Acute phase-regulated receptor involved in clearance and endocytosis of hemoglobin/haptoglobin complexes by macrophages and may thereby protect tissues from free hemoglobin-mediated oxidative damage. Exhibits a higher affinity for complexes of hemoglobin
Produkteigenschaften
Klonalität:
Monoclonal
Konzentration:
2 mg/mL.
Klon-Bezeichnung:
[A3B3]
Molekulargewicht:
Predicted band size: 125 kDa.
Isotyp:
IgG1
UniProt:
Q86VB7
Puffer:
1*PBS (pH7.4), 0.2% BSA, 50% Glycerol. Preservative: 0.05% Sodium Azide.
Reinheit:
Protein G affinity purified.
Formulierung:
Liquid
Target-Kategorie:
CD163
Antibody Type:
Primary Antibody
Anwendungsbeschreibung
Application Verdünnung:
WB:1:500-1:2,000 ,IHC-P:1:100-1:500 ,FC:1:50-1:100