Atg7 Rabbit Polyclonal Antibody, Unconjugated

Artikelnummer: HBO-ER1802-18
Artikelname: Atg7 Rabbit Polyclonal Antibody, Unconjugated
Artikelnummer: HBO-ER1802-18
Hersteller Artikelnummer: ER1802-18
Alternativnummer: HBO-ER1802-18
Hersteller: HUABIO
Wirt: Rabbit
Kategorie: Antikörper
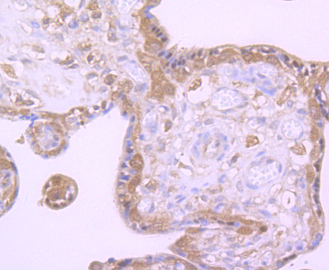
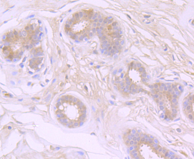
Applikation: FC, IF, IHC-P
Spezies Reaktivität: Human, Mouse
Immunogen: Synthetic peptide within Human Atg7 aa 541-590 / 703.
Konjugation: Unconjugated
Alternative Synonym: 1810013K23Rik antibody APG7 autophagy 7 like antibody APG7 autophagy 7-like (S. cerevisiae) antibody APG7 like antibody APG7, S. cerevisiae, homolog of antibody APG7-like antibody APG7L antibody ATG 7 antibody ATG12-activating enzyme E1 ATG7 antibody ATG
E1-like activating enzyme involved in the 2 ubiquitin-like systems required for cytoplasm to vacuole transport (Cvt) and autophagy. Activates ATG12 for its conjugation with ATG5 as well as the ATG8 family proteins for their conjugation with phosphatidyle
Klonalität: Polyclonal
Konzentration: 1 mg/mL.
Molekulargewicht: 78 kDa
Isotyp: IgG
UniProt: O95352
Puffer: 1*PBS (pH7.4), 0.2% BSA, 50% Glycerol. Preservative: 0.05% Sodium Azide.
Reinheit: Immunogen affinity purified.
Formulierung: Liquid
Target-Kategorie: APG7-like, hAGP7, ATG7, APG7L
Antibody Type: Primary Antibody
Application Verdünnung: IF-Cell: 1:500-1:2,000 ,IHC-P: 1:200-1:1,000 ,FC: 1:50-1:100
ICC staining Apg7 in A549 cells (green). The nuclear counter stain is DAPI (blue). Cells we