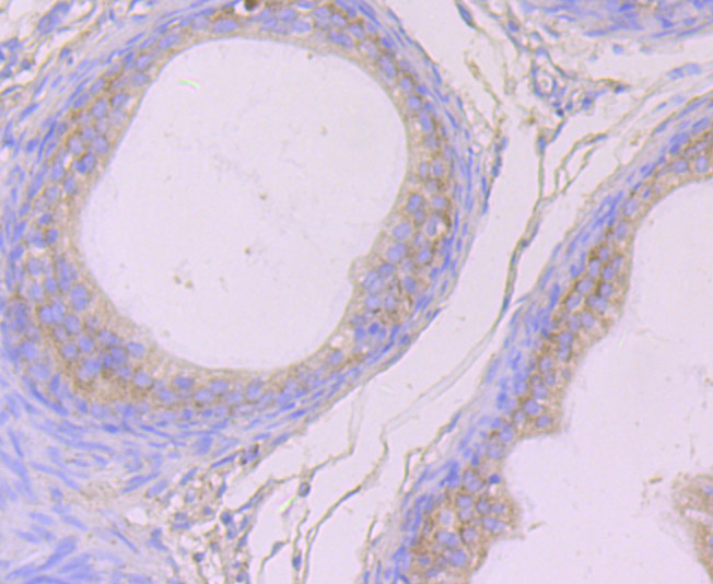
Cytokeratin 8 Rabbit Polyclonal Antibody, Unconjugated

Artikelnummer: HBO-ER1802-43
Artikelname: Cytokeratin 8 Rabbit Polyclonal Antibody, Unconjugated
Artikelnummer: HBO-ER1802-43
Hersteller Artikelnummer: ER1802-43
Alternativnummer: HBO-ER1802-43
Hersteller: HUABIO
Wirt: Rabbit
Kategorie: Antikörper
Applikation: FC, IF, IHC-P, WB
Spezies Reaktivität: Human, Mouse, Rat
Immunogen: Synthetic peptide within N-terminal human Cytokeratin 8.
Konjugation: Unconjugated
Alternative Synonym: CARD2 antibody CK 8 antibody CK-8 antibody CK8 antibody CYK8 antibody CYKER antibody Cytokeratin endo A antibody Cytokeratin-8 antibody DreK8 antibody EndoA antibody K2C8 antibody K2C8_HUMAN antibody K8 antibody Keratin 8 antibody Keratin type II cytoske
Cytokeratins comprise a diverse group of intermediate filament proteins (IFPs) that are expressed as pairs in both keratinized and non-keratinized epithelial tissue. Cytokeratins play a critical role in differentiation and tissue specialization and funct
Klonalität: Polyclonal
Konzentration: 1 mg/mL.
Molekulargewicht: Predicted band size: 54 kDa
Isotyp: IgG
UniProt: P05787
Puffer: 1*PBS (pH7.4), 0.2% BSA, 50% Glycerol. Preservative: 0.05% Sodium Azide.
Reinheit: Immunogen affinity purified.
Formulierung: Liquid
Target-Kategorie: CK-8, K8, KRT8, KRT8
Antibody Type: Primary Antibody
Application Verdünnung: WB: 1:500-1:1,000,IF-Cell: 1:50-1:200,IHC-P: 1:50-1:200,FC: 1:50-1:100
ICC staining Cytokeratin 8 in A549 cells (green). The nuclear counter stai