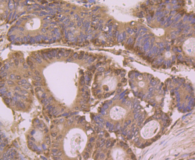
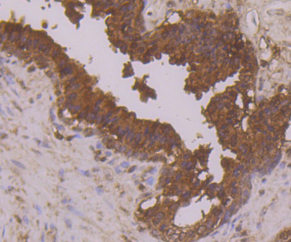
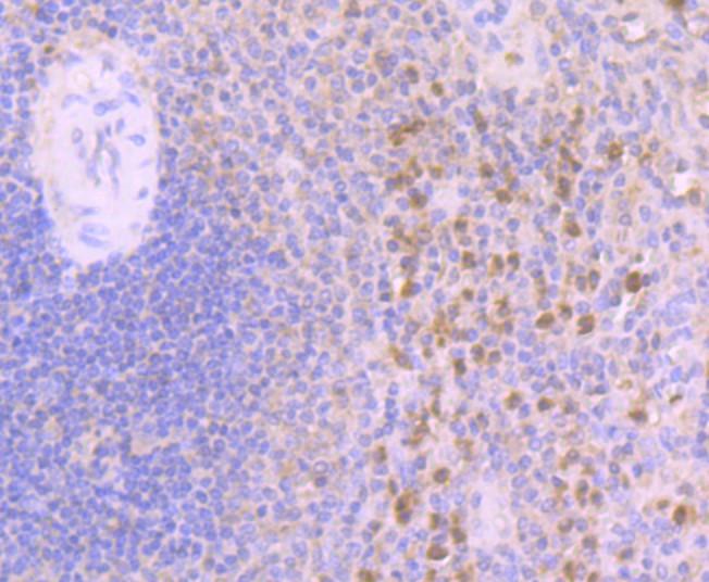
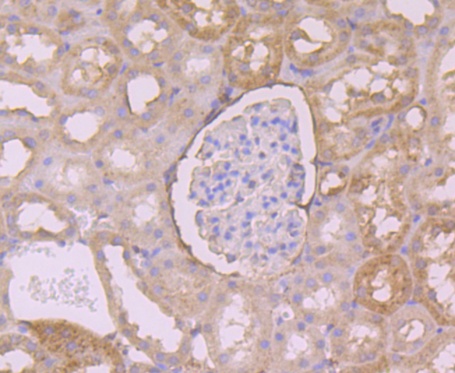
Annexin A3 Rabbit Polyclonal Antibody, Unconjugated
Artikelnummer:
HBO-ER1802-50
Produktübersicht
Artikelname:
Annexin A3 Rabbit Polyclonal Antibody, Unconjugated
Artikelnummer:
HBO-ER1802-50
Hersteller Artikelnummer:
ER1802-50
Alternativnummer:
HBO-ER1802-50
Hersteller:
HUABIO
Wirt:
Rabbit
Kategorie:
Antikörper
Applikation:
FC, IHC-P, WB
Spezies Reaktivität:
Human, Mouse, Rat
Immunogen:
Recombinant protein within Human Annexin A3 aa 2-323.
Konjugation:
Unconjugated
Alternative Synonym:
2-cyclic phosphate 2-phosphohydrolase antibody 35-alpha calcimedin antibody Annexin A3 antibody Annexin III antibody Annexin-3 antibody ANX3 antibody ANXA 3 antibody Anxa3 antibody ANXA3_HUMAN antibody Calcimedin 35 alpha antibody Inositol 1 2 cyclic pho
Produktbeschreibung
The annexin family of calcium-binding proteins is composed of at least ten mammalian genes and is characterized by a conserved core domain, which binds phospholipids in a Ca2+-dependent manner, and a unique amino-terminal region, which may confer binding
Produkteigenschaften
Klonalität:
Polyclonal
Konzentration:
1 mg/mL.
Molekulargewicht:
Predicted band size: 36 kDa
Isotyp:
IgG
UniProt:
P12429
Puffer:
1*PBS (pH7.4), 0.2% BSA, 50% Glycerol. Preservative: 0.05% Sodium Azide.
Reinheit:
Immunogen affinity purified.
Formulierung:
Liquid
Target-Kategorie:
PAP-III, ANXA3, ANX3
Antibody Type:
Primary Antibody
Anwendungsbeschreibung
Application Verdünnung:
WB: 1:500-1:2,000 ,IHC-P: 1:50-1:200 ,FC: 1:50-1:100