TWEAKR Rabbit Polyclonal Antibody, Unconjugated

Artikelnummer: HBO-ER1802-64
Artikelname: TWEAKR Rabbit Polyclonal Antibody, Unconjugated
Artikelnummer: HBO-ER1802-64
Hersteller Artikelnummer: ER1802-64
Alternativnummer: HBO-ER1802-64
Hersteller: HUABIO
Wirt: Rabbit
Kategorie: Antikörper
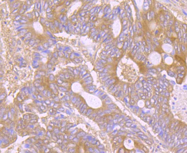
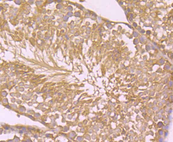
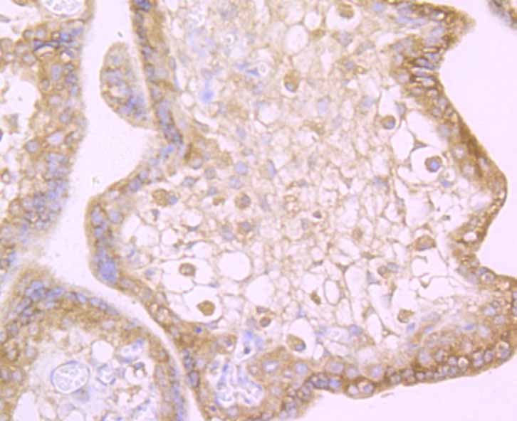
Applikation: FC, IF, IHC-P
Spezies Reaktivität: Human, Mouse
Immunogen: Synthetic peptide within Human TWEAKR aa 80-129 / 129.
Konjugation: Unconjugated
Alternative Synonym: CD 266 antibody CD266 antibody CD266 antigen antibody FGF inducible 14 antibody FGF-inducible 14 antibody Fibroblast growth factor inducible immediate early response protein 14 antibody Fibroblast growth factor-inducible immediate-early response protein
Fn14, the TWEAK receptor, is a recently identified member of the TNF receptor superfamily and is expressed on smooth muscle cells and endothelial cells. It is a weak inducer of apoptosis and promotes angiogenesis. Fn14 is a type 1 membrane protein. It as
Klonalität: Polyclonal
Konzentration: 1 mg/mL.
Molekulargewicht: Predicted band size: 14 kDa
Isotyp: IgG
UniProt: Q9NP84
Puffer: 1*PBS (pH7.4), 0.2% BSA, 50% Glycerol. Preservative: 0.05% Sodium Azide.
Reinheit: Immunogen affinity purified.
Formulierung: Liquid
Target-Kategorie: FGF-inducible 14, TweakR, TNFRSF12A, FN14
Antibody Type: Primary Antibody
Application Verdünnung: IF-Cell: 1:50-1:200,IHC-P: 1:50-1:200,FC: 1:50-1:100
ICC staining TWEAKR in SiHa cells (green). The nuclear counter stain is DAPI (blue). Cel