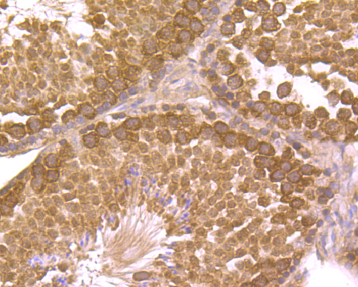
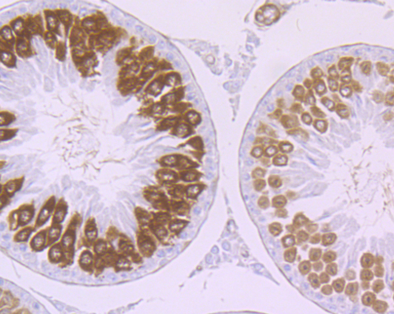
Securin Rabbit Polyclonal Antibody, Unconjugated
Artikelnummer:
HBO-ER1802-75
Produktübersicht
Artikelname:
Securin Rabbit Polyclonal Antibody, Unconjugated
Artikelnummer:
HBO-ER1802-75
Hersteller Artikelnummer:
ER1802-75
Alternativnummer:
HBO-ER1802-75
Hersteller:
HUABIO
Wirt:
Rabbit
Kategorie:
Antikörper
Applikation:
FC, IF, IHC-P, WB
Spezies Reaktivität:
Human
Immunogen:
Recombinant protein within human Securin aa 2-202.
Konjugation:
Unconjugated
Alternative Synonym:
AW555095 antibody C87862 antibody Cut2 antibody EAP 1 antibody EAP1 antibody ESP1 associated protein 1 antibody Esp1-associated protein antibody hPTTG antibody MGC126883 antibody MGC138276 antibody Pds1 antibody Pituitary tumor transforming 1 antibody Pi
Produktbeschreibung
The product of the oncogene PTTG, pituitary tumor transforming gene, is a human homolog of the anaphase-inhibitor vertebrate protein, securin. PTTG contains a basic amino-terminal domain and an acidic carboxy-terminal domain, which acts as a transactivat
Produkteigenschaften
Klonalität:
Polyclonal
Konzentration:
1 mg/mL.
Molekulargewicht:
Predicted band size: 22 kDa
Isotyp:
IgG
UniProt:
O95997
Puffer:
1*PBS (pH7.4), 0.2% BSA, 50% Glycerol. Preservative: 0.05% Sodium Azide.
Reinheit:
Immunogen affinity purified.
Formulierung:
Liquid
Target-Kategorie:
Tumor-transforming protein 1, hPTTG, PTTG1, EAP1, PTTG, TUTR1
Antibody Type:
Primary Antibody
Anwendungsbeschreibung
Application Verdünnung:
WB: 1:500,IHC-P: 1:200-1:500,IF-Cell: 1:200-1:500,FC: 1:50-1:100
Bilder
Western blot analysis of Securin on HUVEC cell lysate using anti-Securin antibody at 1/500 dilution.