RBX1 Rabbit Polyclonal Antibody, Unconjugated
Artikelnummer:
HBO-ER1802-9
Produktübersicht
Artikelname:
RBX1 Rabbit Polyclonal Antibody, Unconjugated
Artikelnummer:
HBO-ER1802-9
Hersteller Artikelnummer:
ER1802-9
Alternativnummer:
HBO-ER1802-9
Hersteller:
HUABIO
Wirt:
Rabbit
Kategorie:
Antikörper
Applikation:
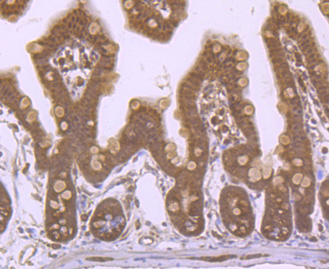
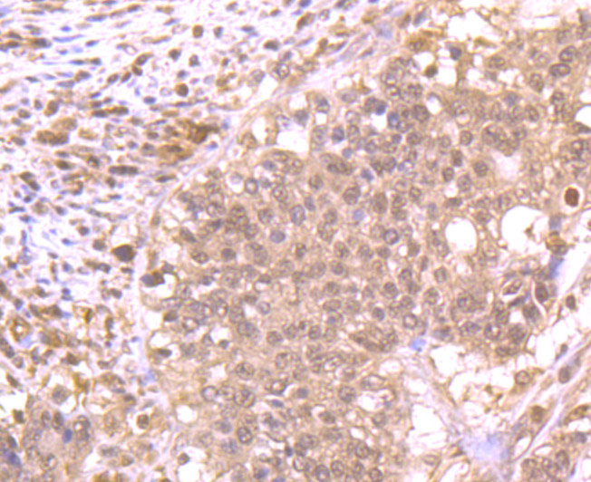
FC, IF, IHC-P, WB
Spezies Reaktivität:
Human, Mouse
Immunogen:
Recombinant protein within Human RBX1 aa 1-108 / 108.
Konjugation:
Unconjugated
Alternative Synonym:
BA554C12.1 antibody E3 ubiquitin-protein ligase RBX1 antibody FLJ60363 antibody MGC13357 antibody MGC1481 antibody OTTHUMP00000028983 antibody Protein ZYP antibody Rbx 1 antibody Rbx1 antibody RBX1_HUMAN antibody Regulator of cullins 1 antibody Ring box
Produktbeschreibung
Rbx1 (also designated ROC1 and Hrt1) and the closely related protein Rbx2 (also designated ROC2) are RING finger containing homologs of the yeast protein APC11, a member of the anaphase-promoting complex (APC). Rbx1 was shown to be a component of the von
Produkteigenschaften
Klonalität:
Polyclonal
Konzentration:
1 mg/mL.
Molekulargewicht:
Predicted band size: 12 kDa
Isotyp:
IgG
UniProt:
P62877
Puffer:
1*PBS (pH7.4), 0.2% BSA, 50% Glycerol. Preservative: 0.05% Sodium Azide.
Reinheit:
Immunogen affinity purified.
Formulierung:
Liquid
Target-Kategorie:
Rbx1, RBX1, RNF75, ROC1
Antibody Type:
Primary Antibody
Anwendungsbeschreibung
Application Verdünnung:
WB: 1:500 ,IF-Cell: 1:100-1:500 ,IHC-P: 1:50-1:200 ,FC: 1:50-1:100
Bilder
Western blot analysis of RBX1 on HepG2 cell lysates using anti-RBX1 antibody at 1/500 dilution.