ERGI3 Rabbit Polyclonal Antibody, Unconjugated

Artikelnummer: HBO-ER1802-98
Artikelname: ERGI3 Rabbit Polyclonal Antibody, Unconjugated
Artikelnummer: HBO-ER1802-98
Hersteller Artikelnummer: ER1802-98
Alternativnummer: HBO-ER1802-98
Hersteller: HUABIO
Wirt: Rabbit
Kategorie: Antikörper
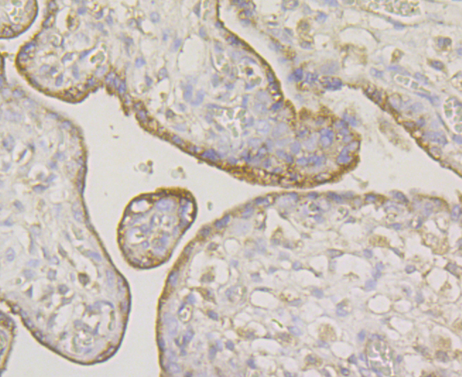
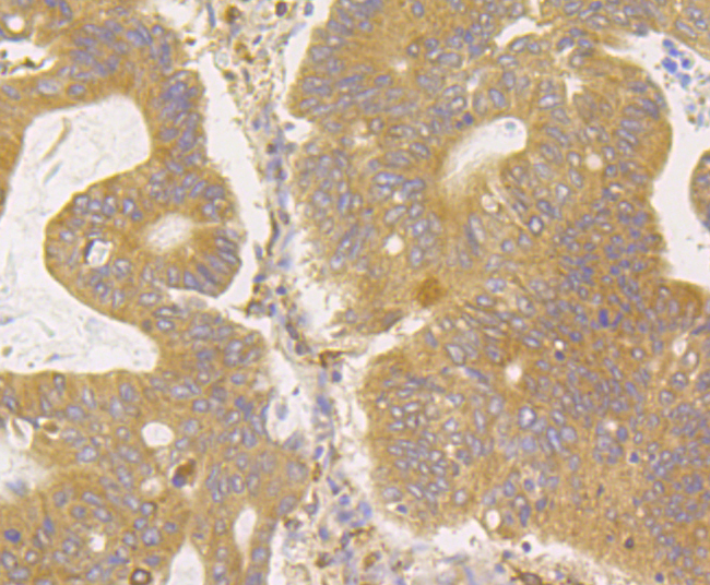
Applikation: FC, IF, IHC-P, WB
Spezies Reaktivität: Human, Mouse, Rat
Immunogen: Synthetic peptide within Human ERGI3 aa 334-383 / 383.
Konjugation: Unconjugated
Alternative Synonym: 2310015B14Rik antibody AV318804 antibody C20orf47 antibody CGI 54 antibody D2Ucla1 antibody dJ477O4.2 antibody DKFZp547A2190 antibody Endoplasmic reticulum Golgi intermediate compartment protein 3 antibody endoplasmic reticulum localized protein ERp43 an
Belongs to the ERGIC family. The ERGIC lies between the rough endoplasmic reticulum and Golgi on the secretory pathway. The vesicular-tubular cluster (VTC), also referred to as the ER-Golgi intermediate compartment (or ERGIC), is an organelle in eukaryot
Klonalität: Polyclonal
Konzentration: 1 mg/mL.
Molekulargewicht: 55 kDa
Isotyp: IgG
UniProt: Q9Y282
Puffer: 1*PBS (pH7.4), 0.2% BSA, 50% Glycerol. Preservative: 0.05% Sodium Azide.
Reinheit: Immunogen affinity purified.
Formulierung: Liquid
Target-Kategorie: ERGIC3, C20orf47, ERV46, SDBCAG84
Antibody Type: Primary Antibody
Application Verdünnung: WB: 1:500,IF-Cell: 1:50-1:200,IHC-P: 1:50-1:200,FC: 1:50-1:100
ICC staining ERGI3 in LOVO cells (green). The nuclear counter stain is