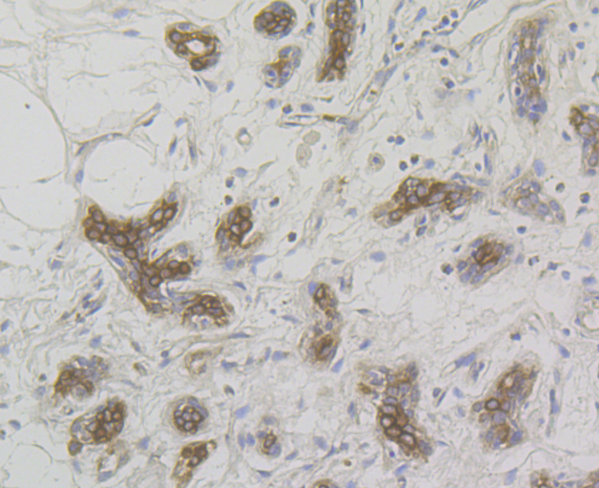
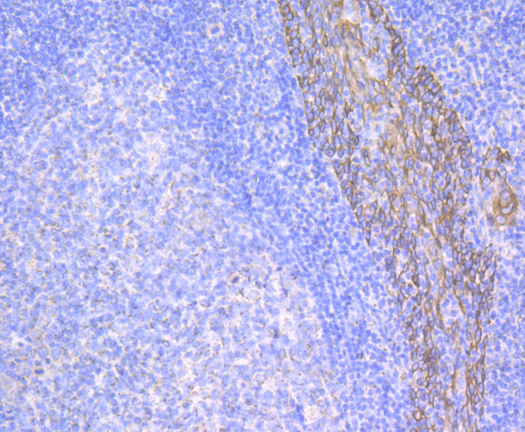
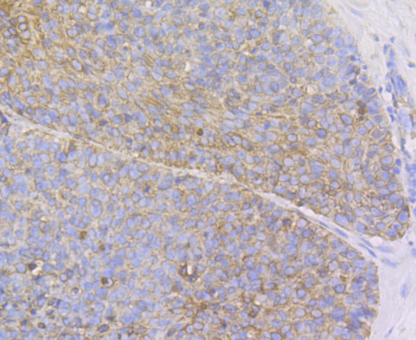
Cytokeratin 17 Rabbit Polyclonal Antibody, Unconjugated
Artikelnummer:
HBO-ER1803-94
Produktübersicht
Artikelname:
Cytokeratin 17 Rabbit Polyclonal Antibody, Unconjugated
Artikelnummer:
HBO-ER1803-94
Hersteller Artikelnummer:
ER1803-94
Alternativnummer:
HBO-ER1803-94
Hersteller:
HUABIO
Wirt:
Rabbit
Kategorie:
Antikörper
Applikation:
FC, IHC-P, WB
Spezies Reaktivität:
Human, Mouse, Rat
Immunogen:
Recombinant protein within Human Cytokeratin 17 aa 100-300.
Konjugation:
Unconjugated
Alternative Synonym:
39.1 antibody CK 17 antibody CK17 antibody CK-17 antibody Cytokeratin-17 antibody K17 antibody K1C17_HUMAN antibody Keratin 17 antibody keratin 17 epitope S1 antibody keratin 17 epitope S2 antibody keratin 17 epitope S4 antibody Keratin 17, type I antibo
Produktbeschreibung
Cytokeratin 17 is a member of the Cytokeratin subfamily of intermediate filament proteins (IFPs). It is unique in that it is normally expressed in the basal cells of complex epithelia but not in stratified or simple epithelia. Cytokeratin 17 contains 432
Produkteigenschaften
Klonalität:
Polyclonal
Konzentration:
1 mg/mL.
Molekulargewicht:
48 kDa
Isotyp:
IgG
UniProt:
Q04695
Puffer:
1*PBS (pH7.4), 0.2% BSA, 50% Glycerol. Preservative: 0.05% Sodium Azide.
Reinheit:
Immunogen affinity purified.
Formulierung:
Liquid
Target-Kategorie:
CK-17, K17
Antibody Type:
Primary Antibody
Anwendungsbeschreibung
Application Verdünnung:
WB:1:1,000-1:5000 ,IHC-P:1:100-1:500 ,FC:1:50-1:100