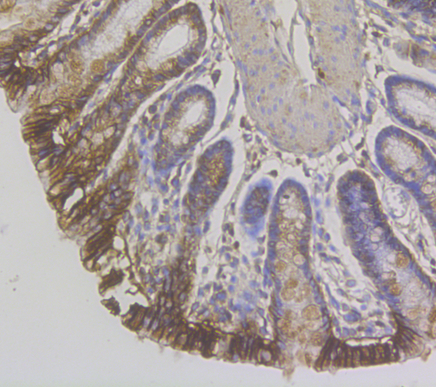
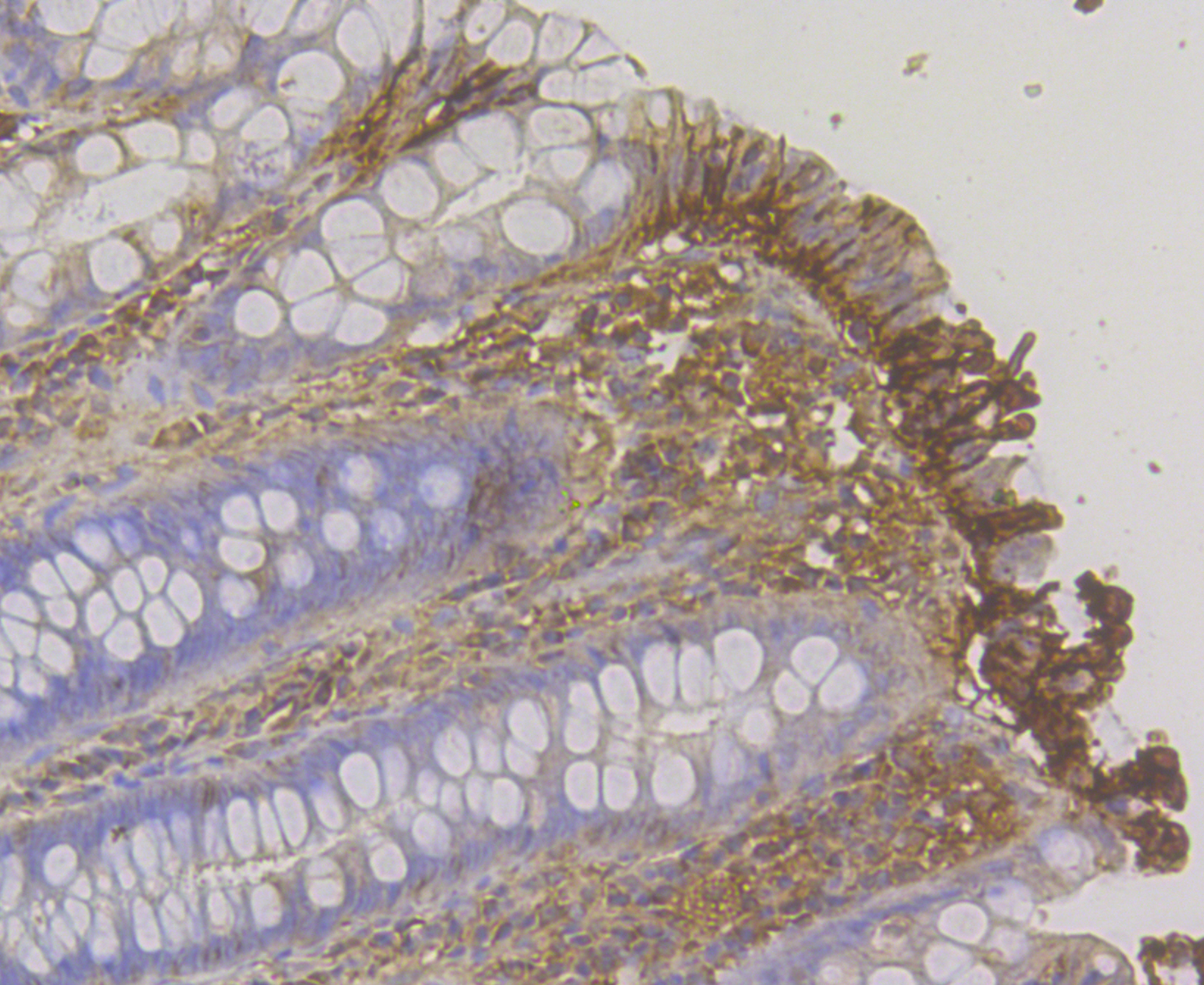
CDH17 Rabbit Polyclonal Antibody, Unconjugated
Artikelnummer:
HBO-ER1804-02
Produktübersicht
Artikelname:
CDH17 Rabbit Polyclonal Antibody, Unconjugated
Artikelnummer:
HBO-ER1804-02
Hersteller Artikelnummer:
ER1804-02
Alternativnummer:
HBO-ER1804-02
Hersteller:
HUABIO
Wirt:
Rabbit
Kategorie:
Antikörper
Applikation:
IF, IHC-P, WB
Spezies Reaktivität:
Human, Mouse, Rat
Immunogen:
Recombinant protein within Human CDH17 aa 33-210 / 832.
Konjugation:
Unconjugated
Alternative Synonym:
BILL-cadherin antibody CAD17_HUMAN antibody Cadherin 16 antibody Cadherin 16, formerly antibody Cadherin 17 antibody cadherin 17, LI cadherin (liver-intestine) antibody cadherin, liver-intestine antibody Cadherin-17 antibody CDH16 antibody CDH16, formerl
Produktbeschreibung
This gene is a member of the cadherin superfamily, genes encoding calcium-dependent, membrane-associated glycoproteins. The encoded protein is cadherin-like, consisting of an extracellular region, containing 7 cadherin domains, and a transmembrane region
Produkteigenschaften
Klonalität:
Polyclonal
Konzentration:
1 mg/mL.
Molekulargewicht:
Predicted band size: 92 kDa
Isotyp:
IgG
UniProt:
Q12864
Puffer:
1*PBS (pH7.4), 0.2% BSA, 50% Glycerol. Preservative: 0.05% Sodium Azide.
Reinheit:
Immunogen affinity purified.
Formulierung:
Liquid
Target-Kategorie:
LI-cadherin,CDH17
Antibody Type:
Primary Antibody
Anwendungsbeschreibung
Application Verdünnung:
WB:1:500-1:1,000,IF-Cell:1:50-1:200,IHC-P:1:50-1:200