Brd4 Rabbit Polyclonal Antibody, Unconjugated

Artikelnummer: HBO-ER1901-02
Artikelname: Brd4 Rabbit Polyclonal Antibody, Unconjugated
Artikelnummer: HBO-ER1901-02
Hersteller Artikelnummer: ER1901-02
Alternativnummer: HBO-ER1901-02
Hersteller: HUABIO
Wirt: Rabbit
Kategorie: Antikörper
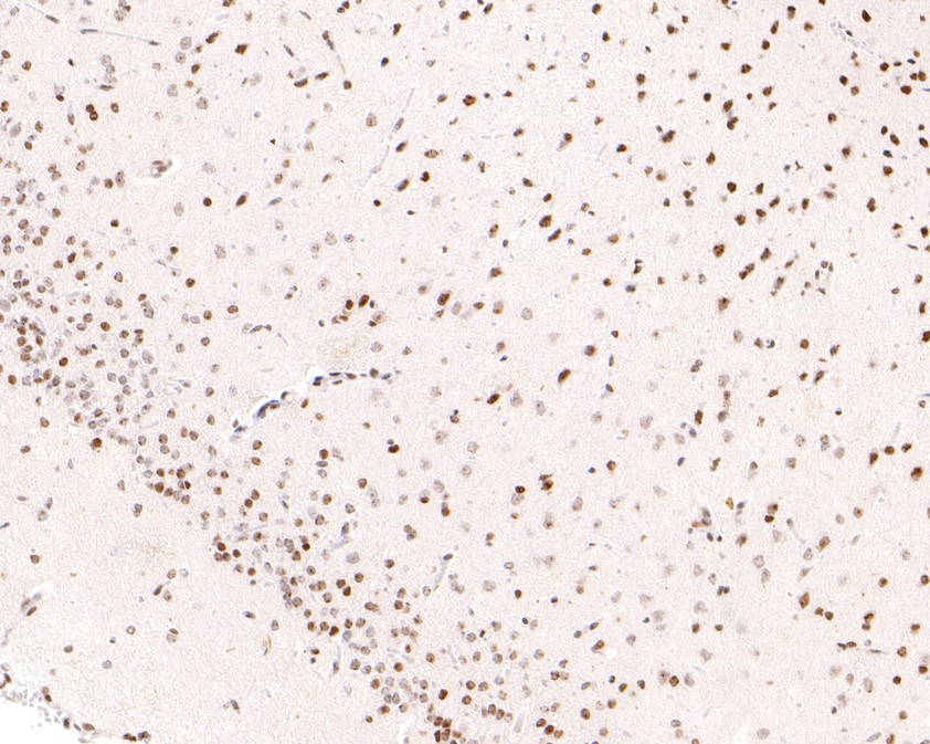
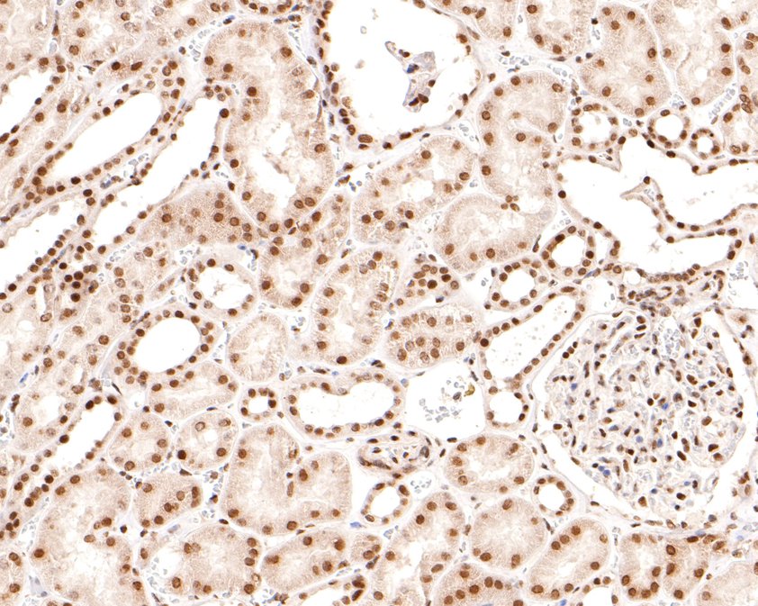
Applikation: IF, IHC-P
Spezies Reaktivität: Human, Mouse, Rat
Immunogen: Recombinant protein within Human Brd4 aa 1-120.
Konjugation: Unconjugated
Alternative Synonym: Brd4 antibody BRD4-NUT FUSION antibody BRD4-NUT fusion oncoprotein antibody BRD4_HUMAN antibody Bromodomain containing 4 antibody bromodomain containing protein 4 antibody Bromodomain-containing protein 4 antibody CAP antibody chromosome associated prote
Chromatin reader protein that recognizes and binds acetylated histones and plays a key role in transmission of epigenetic memory across cell divisions and transcription regulation. Remains associated with acetylated chromatin throughout the entire cell c
Klonalität: Polyclonal
Konzentration: 1 mg/mL.
Molekulargewicht: Predicted band size: 152 kDa
Isotyp: IgG
UniProt: O60885
Puffer: 1*PBS (pH7.4), 0.2% BSA, 50% Glycerol. Preservative: 0.05% Sodium Azide.
Reinheit: Immunogen affinity purified.
Formulierung: Liquid
Target-Kategorie: BRD4, HUNK1
Antibody Type: Primary Antibody
Application Verdünnung: IF-Cell:1:50-1:200 ,IHC-P:1:50-1:500