AKT3 Rabbit Polyclonal Antibody, Unconjugated

Artikelnummer: HBO-ER1901-33
Artikelname: AKT3 Rabbit Polyclonal Antibody, Unconjugated
Artikelnummer: HBO-ER1901-33
Hersteller Artikelnummer: ER1901-33
Alternativnummer: HBO-ER1901-33
Hersteller: HUABIO
Wirt: Rabbit
Kategorie: Antikörper
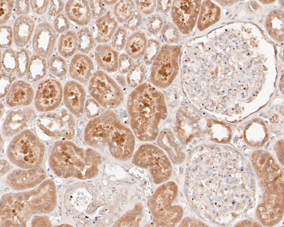
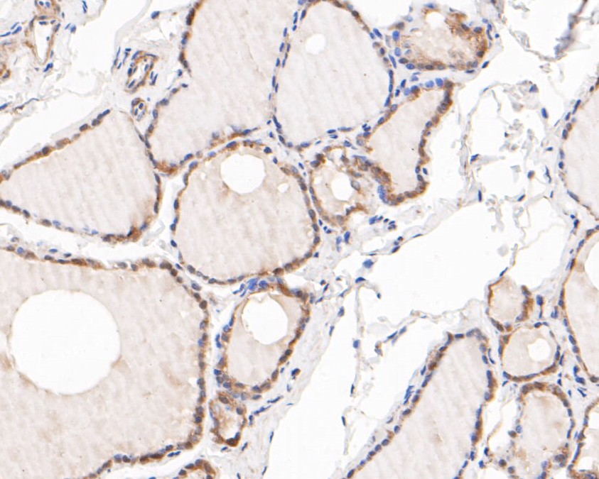
Applikation: FC, IF, IHC-P, WB
Spezies Reaktivität: Human, Mouse, Rat
Immunogen: Recombinant protein within Human AKT3 aa 211-383 / 479.
Konjugation: Unconjugated
Alternative Synonym: Akt3 antibody AKT3 kinase antibody AKT3_HUMAN antibody DKFZp434N0250 antibody MPPH antibody PKB gamma antibody PKBG antibody PRKBG antibody Protein kinase Akt-3 antibody Protein Kinase AKT3 antibody Protein kinase B gamma antibody RAC gamma antibody RAC
AKT3 is one of 3 closely related serine/threonine-protein kinases (AKT1, AKT2 and AKT3) called the AKT kinase, and which regulate many processes including metabolism, proliferation, cell survival, growth and angiogenesis. This is mediated through serine
Klonalität: Polyclonal
Konzentration: 1 mg/mL.
Molekulargewicht: Predicted band size: 56 kDa
Isotyp: IgG
UniProt: Q9Y243
Puffer: 1*PBS (pH7.4), 0.2% BSA, 50% Glycerol. Preservative: 0.05% Sodium Azide.
Reinheit: Immunogen affinity purified.
Formulierung: Liquid
Target-Kategorie: AKT3
Antibody Type: Primary Antibody
Application Verdünnung: WB:1:500-1:2,000 ,IF-Cell:1:50-1:100 ,IHC-P:1:50-1:200 ,FC:1:50-1:100