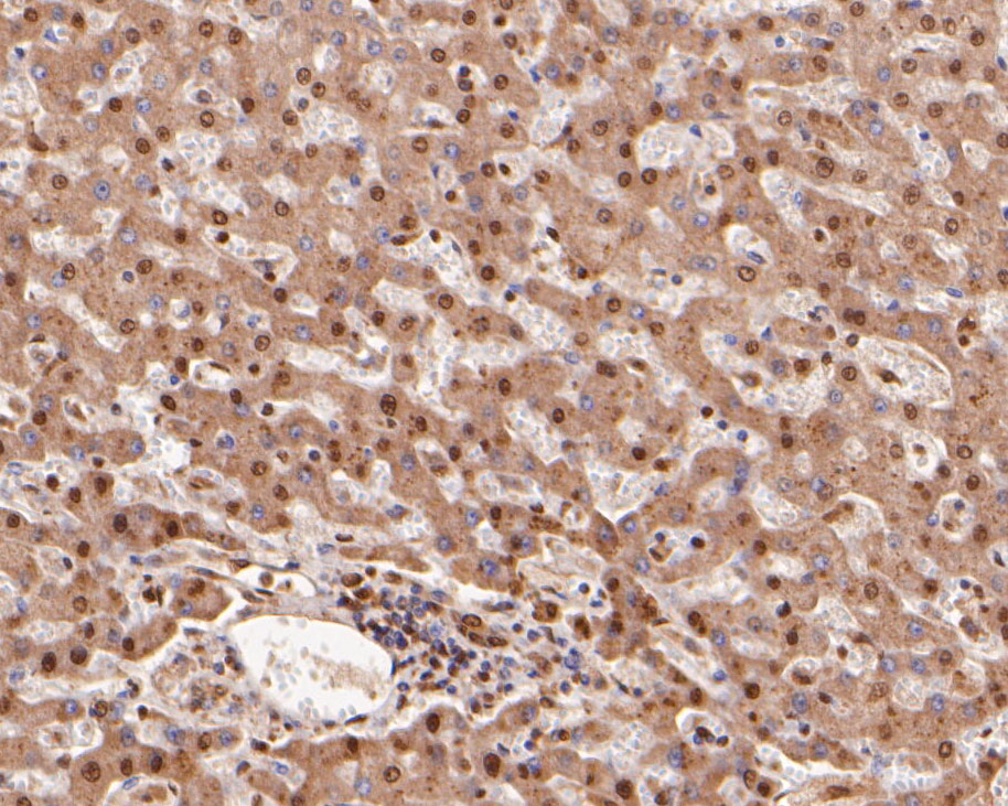
COPS8 Rabbit Polyclonal Antibody, Unconjugated
Artikelnummer:
HBO-ER2001-29
Produktübersicht
Artikelname:
COPS8 Rabbit Polyclonal Antibody, Unconjugated
Artikelnummer:
HBO-ER2001-29
Hersteller Artikelnummer:
ER2001-29
Alternativnummer:
HBO-ER2001-29
Hersteller:
HUABIO
Wirt:
Rabbit
Kategorie:
Antikörper
Applikation:
IHC-P, WB
Spezies Reaktivität:
Human, Mouse, Rat
Immunogen:
Recombinant protein within human COPS8 aa 1-300.
Konjugation:
Unconjugated
Alternative Synonym:
COP9 homolog antibody COP9 signalosome complex subunit 8 antibody COP9 signalosome subunit 8 antibody Cops8 antibody CSN8 antibody CSN8_HUMAN antibody hCOP9 antibody JAB1 containing signalosome subunit 8 antibody JAB1-containing signalosome subunit 8 ant
Produktbeschreibung
Component of the COP9 signalosome complex (CSN), a complex involved in various cellular and developmental processes. The CSN complex is an essential regulator of the ubiquitin (Ubl) conjugation pathway by mediating the deneddylation of the cullin subunit
Produkteigenschaften
Klonalität:
Polyclonal
Konzentration:
1 mg/mL.
Molekulargewicht:
Predicted band size: 23 kDa.
Isotyp:
IgG
UniProt:
Q99627
Puffer:
1*TBS (pH7.4), 0.2% BSA, 50% Glycerol. Preservative: 0.05% Sodium Azide.
Reinheit:
Protein A affinity purified.
Formulierung:
Liquid
Target-Kategorie:
COP9 signalosome complex subunit 8,SGN8,Signalosome subunit 8,COP9 homolog hCOP9 JAB1-containing signalosome subunit 8
Antibody Type:
Primary Antibody
Anwendungsbeschreibung
Application Verdünnung:
WB:1:500-1:1,000,IHC-P: 1:100-1:500