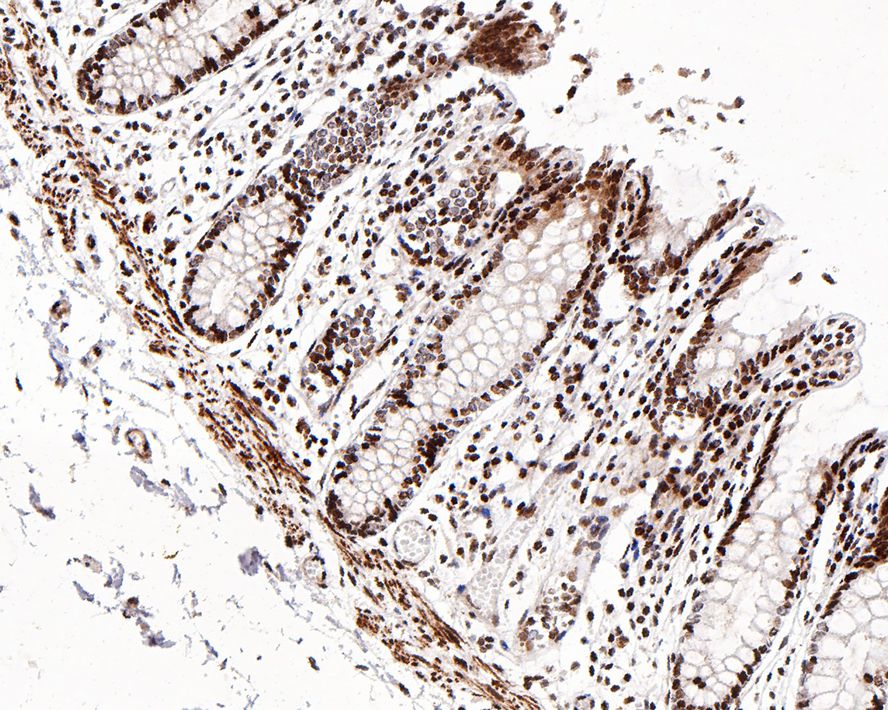
Histone H3 (mono methyl K18) Recombinant Rabbit Monoclonal Antibody [SA42-07], Unconjugated
Artikelnummer:
HBO-ET1601-14
Produktübersicht
Artikelname:
Histone H3 (mono methyl K18) Recombinant Rabbit Monoclonal Antibody [SA42-07], Unconjugated
Artikelnummer:
HBO-ET1601-14
Hersteller Artikelnummer:
ET1601-14
Alternativnummer:
HBO-ET1601-14
Hersteller:
HUABIO
Wirt:
Rabbit
Kategorie:
Antikörper
Applikation:
IF, IHC-P, WB
Spezies Reaktivität:
Human, Mouse, Rat
Immunogen:
Synthetic peptide within Human Histone H3 aa 1-50 / 136 (mono methyl K18) conjugated to Keyhole Limpet Haemocyanin (KLH).
Konjugation:
Unconjugated
Alternative Synonym:
HIST1 cluster, H3J antibody Histone gene cluster 1, H3 histone family, member E antibody Histone gene cluster 1, H3G antibody H3 histone family, member J antibody HIST1 cluster, H3E antibody HIST1 cluster, H3I antibody Histone gene cluster 1, H3C antibod
Produktbeschreibung
Histone H3 is one of the five main histones involved in the structure of chromatin in eukaryotic cells. Featuring a main globular domain and a long N-terminal tail, H3 is involved with the structure of the nucleosomes of the beads on a string structure.
Produkteigenschaften
Klonalität:
Monoclonal
Konzentration:
1 mg/mL.
Klon-Bezeichnung:
[SA42-07]
Molekulargewicht:
Predicted band size: 15 kDa
Isotyp:
IgG
UniProt:
P68431
Puffer:
1*TBS (pH7.4), 0.05% BSA, 40% Glycerol. Preservative: 0.05% Sodium Azide.
Reinheit:
Protein A affinity purified.
Formulierung:
Liquid
Target-Kategorie:
Histone H3 H3K18me1
Antibody Type:
Primary Antibody
Anwendungsbeschreibung
Application Verdünnung:
WB: 1:500-1:5,000 ,IF-Cell: 1:50 ,IF-Tissue: 1:50 ,IHC-P: 1:50-1:1,000
Bilder
Western blot analysis of Histone H3(mono methyl K18) on