HSD17B13 / Hydroxysteroid 17-beta dehydrogenase 13 (NAFLD / NASH Marker) Antibody, IgG2b, Clone: [HSD17B13/13106], Mouse, Monoclonal

Artikelnummer: NBT-345275-MSM6-P1ABX
Artikelname: HSD17B13 / Hydroxysteroid 17-beta dehydrogenase 13 (NAFLD / NASH Marker) Antibody, IgG2b, Clone: [HSD17B13/13106], Mouse, Monoclonal
Artikelnummer: NBT-345275-MSM6-P1ABX
Hersteller Artikelnummer: 345275-MSM6-P1ABX
Alternativnummer: NBT-345275-MSM6-P1ABX-100
Hersteller: NeoBiotechnologies
Wirt: Mouse
Kategorie: Antikörper
Applikation: IHC
Spezies Reaktivität: Human
Immunogen: Recombinant fragment (around aa1-200) of human HSD17B13 protein (exact sequence is proprietary)
Alternative Synonym: 7-beta hydroxysteroid dehydrogenase, 17-beta-HSD 13, hepatic retinol/retinal dehydrogenase, short chain dehydrogenase/reductase family 16C member 3, short-chain dehydrogenase/reductase 9
Hydroxysteroid 17-beta dehydrogenase 13 (HSD17B13) is an engyme in the liver that is associated with lipid droplets. It is encoded by the HSD17B13 gene in humans. HSD17B13 levels increase in patients with non-alcoholic fatty liver disease (NAFLD) and can enhance lipogenesis. However, some studies have shown that loss-of-function variants in HSD17B13 may protect against the progression of NAFLD to non-alcoholic steatohepatitis, fibrosis, and hepatocellular carcinoma.
Klonalität: Monoclonal
Klon-Bezeichnung: [HSD17B13/13106]
Molekulargewicht: 30kDa
Isotyp: IgG2b
NCBI: 345275
UniProt: Q7Z5P4
Formulierung: 200ug/ml of Ab Purified from Bioreactor Concentrate by Protein A/G. Prepared in 10mM PBS with 0.05% BSA & 0.05% azide. Also available WITHOUT BSA & azide at 1.0mg/ml.
SDS-PAGE Analysis Purified HSD17B13 Mouse Monoclonal Antibody (HSD17B13/13106 ). Confirmation of Purity and Integrity of Antibody.
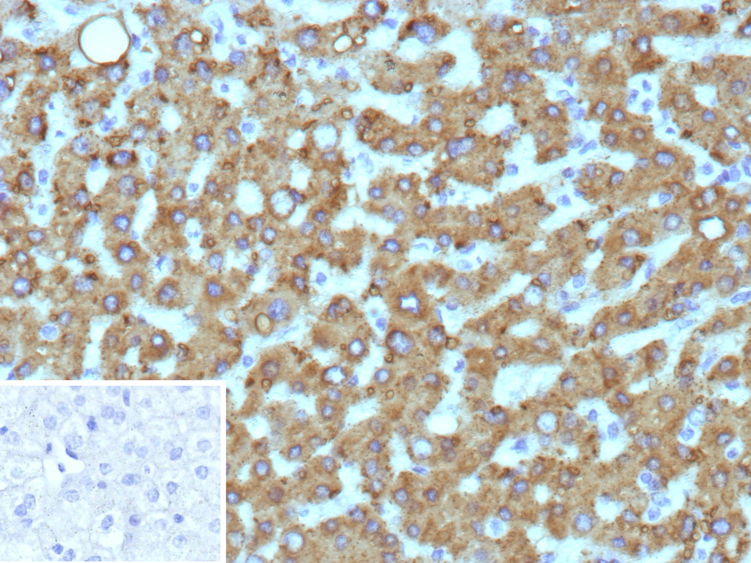
Formalin-fixed, paraffin-embedded human hepatocellular carcinoma stained with Hydroxysteroid 17-beta dehydrogenase 13 Mouse Monoclonal Antibody (HSD17B13/13106). Inset: PBS instead of primary antibody, secondary only negative control.