Ubiquilin 2
Artikelnummer:
NRM-MO22131
| Artikelname: |
Ubiquilin 2 |
| Artikelnummer: |
NRM-MO22131 |
| Hersteller Artikelnummer: |
MO22131 |
| Alternativnummer: |
NRM-MO22131-100,NRM-MO22131 |
| Hersteller: |
Neuromics |
| Kategorie: |
Antikörper |
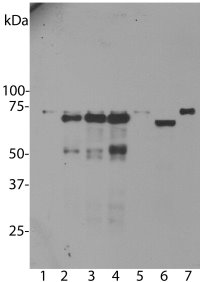
| Applikation: |
IF, WB |
| Spezies Reaktivität: |
Human, Mouse |
| Immunogen: |
Human ubiquilin 2 expressed in and purified from E. coli |
| NCBI: |
29978 |
| UniProt: |
Q9UHD9 |
| Formulierung: |
Affinity Purified liquid |
| Application Verdünnung: |
ICC 1:100,000, IHC 1:100,000 WB 1:100,000 |
| Anwendungsbeschreibung: |
WB, IF |
|
MO22131 |
|
MO22131 |