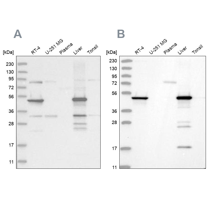
Anti-HMGCS2
Artikelnummer:
ATA-HPA027423
- Bilder (11)
| Artikelname: | Anti-HMGCS2 |
| Artikelnummer: | ATA-HPA027423 |
| Hersteller Artikelnummer: | HPA027423 |
| Alternativnummer: | ATA-HPA027423-100,ATA-HPA027423-25 |
| Hersteller: | Atlas Antibodies |
| Wirt: | Rabbit |
| Kategorie: | Sonstiges |
| Applikation: | IHC, WB |
| Spezies Reaktivität: | Human |
| Immunogen: | Recombinant Protein Epitope Signature Tag (PrEST) antigen sequence |
| Konjugation: | Unconjugated |
| Alternative Synonym: | HMGCS2 |
| 3-hydroxy-3-methylglutaryl-CoA synthase 2 (mitochondrial) |
| Anti-HMGCS2 |
| Klonalität: | Polyclonal |
| Konzentration: | 0.1 mg/ml |
| Isotyp: | IgG |
| NCBI: | 3158 |
| UniProt: | P54868 |
| Puffer: | 40% glycerol and PBS (pH 7.2). 0.02% sodium azide is added as preservative. |
| Reinheit: | Affinity purified using the PrEST antigen as affinity ligand |
| Sequenz: | ASFFSFRVSQDAAPGSPLDKLVSSTSDLPKRLASRKCVSPEEFTEIMNQREQFYHKVNFSPPG |
| Lagerung: | Store at +4°C for short term storage. Long time storage is recommended at -20°C. |
| Target-Kategorie: | HMGCS2 |
| Antibody Type: | Monoclonal Antibody |
| Application Verdünnung: | IHC: 1:1000 - 1:2500, WB: 0.04-0.4 µg/ml |











