Anti-CCAR2

Catalog Number: ATA-HPA019907
Article Name: Anti-CCAR2
Biozol Catalog Number: ATA-HPA019907
Supplier Catalog Number: HPA019907
Alternative Catalog Number: ATA-HPA019907-100,ATA-HPA019907-25
Manufacturer: Atlas Antibodies
Host: Rabbit
Category: Sonstiges
Application: ICC, IHC, WB
Species Reactivity: Human, Mouse, Rat
Immunogen: Recombinant Protein Epitope Signature Tag (PrEST) antigen sequence
Conjugation: Unconjugated
Alternative Names: DBC-1, DBC1, KIAA1967, NET35
cell cycle and apoptosis regulator 2
Anti-CCAR2
Clonality: Polyclonal
Concentration: 0.1 mg/ml
Isotype: IgG
NCBI: 57805
UniProt: Q8N163
Buffer: 40% glycerol and PBS (pH 7.2). 0.02% sodium azide is added as preservative.
Purity: Affinity purified using the PrEST antigen as affinity ligand
Sequence: MLLSLPEKVVSPPEPEKEEAAKEEATKEEEAIKEEVVKEPKDEAQNEGPATESEAPLKEDGLLPKPLSSGGEEEEKPRGEASEDLCEMALD
Storage: Store at +4°C for short term storage. Long time storage is recommended at -20°C.
Target: CCAR2
Antibody Type: Monoclonal Antibody
Application Dilute: ICC-IF: 0.25-2 µg/ml, IHC: 1:500 - 1:1000, WB: 0.04-0.4 µg/ml
Immunofluorescent staining of human cell line U-2 OS shows localization to nucleoplasm.
Immunohistochemistry analysis in human testis and liver tissues using Anti-CCAR2 antibody. Corresponding CCAR2 RNA-seq data are presented for the same tissues.
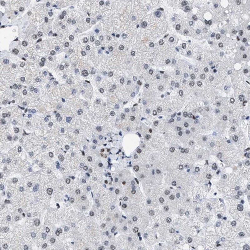
Immunohistochemical staining of human kidney, liver, pancreas and testis using Anti-CCAR2 antibody HPA019907 (A) shows similar protein distribution across tissues to independent antibody HPA019943 (B).
Immunohistochemical staining of human testis shows high expression.
Immunohistochemical staining of human liver shows low expression as expected.
Immunohistochemical staining of human pancreas using Anti-CCAR2 antibody HPA019907.
Immunohistochemical staining of human kidney using Anti-CCAR2 antibody HPA019907.
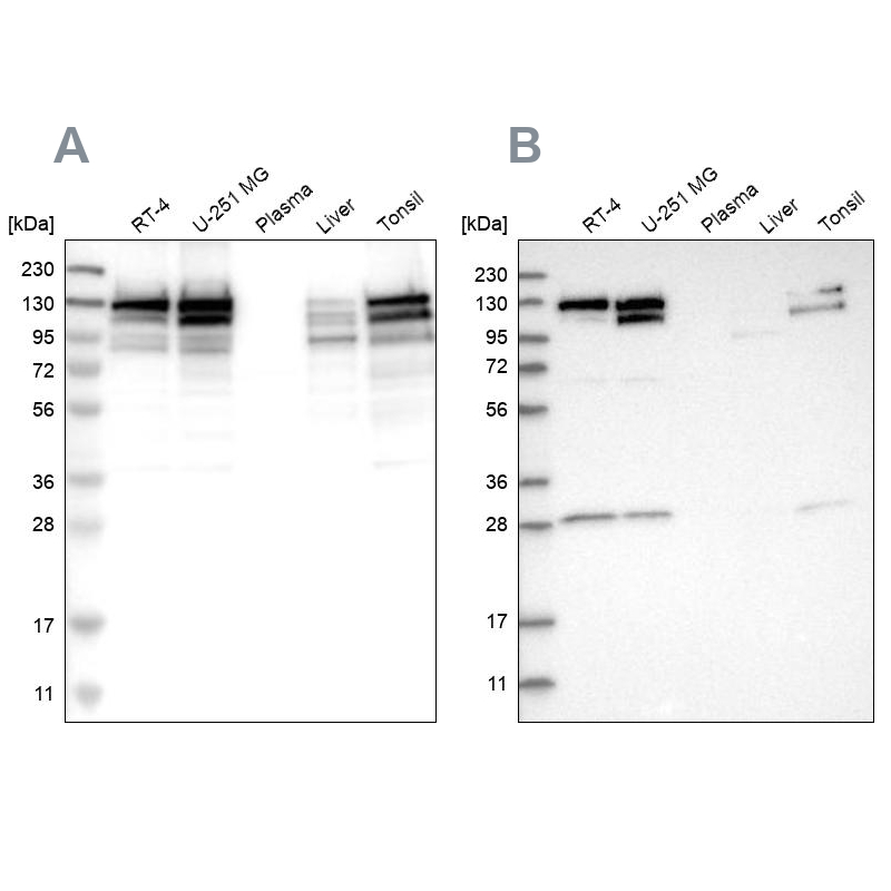
Western blot analysis using Anti-CCAR2 antibody HPA019907 (A) shows similar pattern to independent antibody HPA019943 (B).
Lane 1: NIH-3T3 cell lysate (Mouse embryonic fibroblast cells)
Lane 2: NBT-II cell lysate (Rat Wistar bladder tumour cells)
HPA019907-100ul
HPA019907-100ul
HPA019907-100ul